Introduction

Les lésions bénignes du col utérin sont essentiellement constituées par les lésions précancéreuses : néoplasie intraépithéliale cervicale et adénocarcinome in situ. En évitant la survenue du cancer du col, leur prise en charge optimale constitue un véritable enjeu de santé publique.

La prise en charge des autres lésions bégnignes du col : polype, fibrome, endométriose, cervicite n’est décrite que très succintement.

1  -  Pour comprendre

Les lésions précancéreuses comprennent la néoplasie intraépithéliale cervicale (CIN) et l’adénocarcinome in situ. Ces lésions sont totalement asymptomatiques. Leur délai d’évolution vers la lésion invasive est généralement long permettant grâce à un dépistage d’aboutir à un diagnostic par colposcopie et biopsie dirigée, ainsi qu’à un traitement qui évite l’évolution vers le cancer. La prise en charge diagnostique et thérapeutique de ces anomalies est maintenant bien codifiée.

L’infection persistante de la muqueuse cervicale par un papillomavirus humain (HPV) constitue une condition nécessaire au développement des lésions pré-cancéreuses et cancéreuses du col utérin. Une vaccination prophylactique qui induit la production d’anticorps neutralisants dirigés contre certains types d’HPV constitue une mesure de prévention primaire qui est complémentaire au dépistage.

1 . 1  -  Anatomie physiologique

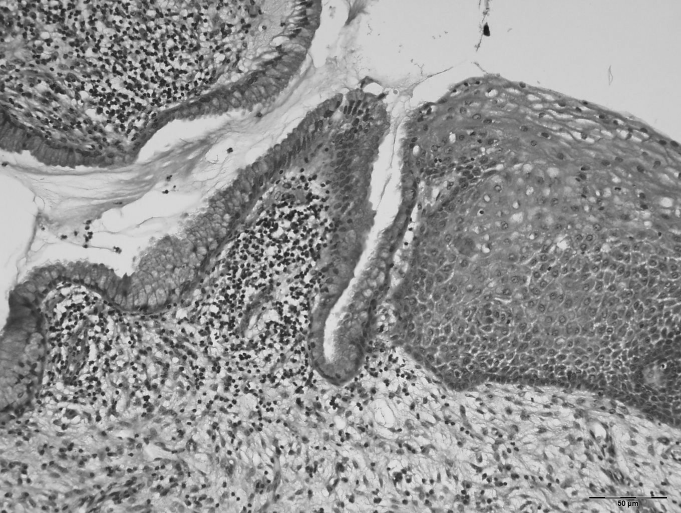
La muqueuse exocervicale (malpighienne) se prolonge dans le canal endocervical par un revêtement cylindrique mucosécrétant accompagné des cellules de réserves (cellules basales de régénération, bipotentes, capables d’une différenciation aussi bien malpighienne que glandulaire) (figure 18.1).

Figure 18.1 Coupe histologique de la jonction squamo-cylindrique normale du col (coloration à l’hématoxyline-éosine et grossissement × 200)
Figure 18.1 Coupe histologique de la jonction squamo-cylindrique normale du col (coloration à l’hématoxyline-éosine et grossissement × 200).

Cette illustration est également reproduite dans le cahier couleur.

La zone de jonction squamo-cylindrique (JSC) est hormono-dépendante et par conséquent sa localisation change avec l’âge. Pendant la puberté, la grossesse, ou sous traitement hormonal progestatif la réapparition physiologique de muqueuse cylindrique (de type endocervical) sur l’exocol est connue sous le terme d’ectropion ou d’éversion (figure 18.2). Après la ménopause la JSC se rétracte dans le canal endocervical (figure 18.3).

Figure 18.2 Ectropion : examen colposcopique sans préparation.
Figure 18.2 Ectropion : examen colposcopique sans préparation.

Cette illustration est également reproduite dans le cahier couleur.
Figure 18.3 Visualisation de la jonction squamo-cylindrique endocervicale à l’aide d’un spéculum endocervical de Koogan.
Figure 18.3 Visualisation de la jonction squamo-cylindrique endocervicale à l’aide d’un spéculum endocervical de Koogan.

Cette illustration est également reproduite dans le cahier couleur.

L’extension de l’ectropion est très variable et dépend de multiples facteurs hormonaux et environnementaux (comme l’acidité du vagin, l’inflammation, les effets mécaniques). C’est une surface dynamique, de régénération active à partir des cellules de réserve sous forme d’une métaplasie malpighienne. Cette surface dynamique est appelée zone de transformation. Elle représente le terrain le plus propice à l’infection à HPV qui concerne les cellules basales et de réserve, auxquelles les virus accèdent grâce à des micro-brèches de l’épithélium de surface.

1 . 2  -  Physiopathologie

1 . 2 . 1  -  Infection HPV

L’infection persistante de la muqueuse cervicale par un HPV constitue une condition nécessaire au développement du cancer du col utérin et de ses lésions précancéreuses. Les HPV appartiennent à la famille des Papillomaviridae. Ces petits virus sont constitués d’une capside icosaédrique. Le génome viral se présente sous la forme d’ADN circulaire bicaténaire constitué d’environ 8 000 paires de bases.

Les HPV possèdent une spécificité d’hôte très étroite. Parmi les 120 types de HPV connus, 40 sont à tropisme génital préférentiel et une quinzaine, dits « à haut risque » ou oncogènes, sont associés à des cancers du col de l’utérus, de la vulve, de l’anus voire de la sphère ORL. Les types 16 et 18 sont les plus fréquents.

L’infection à HPV est une infection fréquente et sexuellement transmise. Plus de 70 % des personnes font au moins une infection à HPV dans leur vie. L’incidence cumulée de l’infection HPV est particulièrement élevée immédiatement après le début de l’activité sexuelle. Tous types d’HPV confondus, le risque cumulé d’infection est estimé entre 40 à 80 % dans les 2 à 5 ans après le début de l’activité sexuelle, chez les femmes de moins de 20 ans. Le nombre de partenaires sexuels est le principal facteur de risque de l’infection HPV et le tabagisme a été identifié comme un facteur de risque associé.

Les infections HPV sont généralement éliminées en 1 à 2 ans. Dans un faible pourcentage de cas, l’infection persiste. L’infection par HPV 16 présente le plus fort taux de persistance. La persistance est d’abord sans traduction cytologique ou histologique (infection latente), puis elle peut se traduire par des lésions : condylomes ou néoplasie intraépithéliale cervicale.

1 . 2 . 2  -  Lésions précancéreuses

Néoplasies intraépithéliales cervicales
Les CIN constituent un éventail de lésions caractérisées par une désorganisation architecturale liée principalement à un trouble de la différentiation et une prolifération de cellules atypiques. L’intensité et la topographie de ces anomalies permettent de classer les CIN selon leur sévérité en simples lésions infectieuses (CIN 1) ou en lésions pré-invasives (CIN 2 et CIN 3).

Les données épidémiologiques récentes suggèrent une augmentation de l’incidence et de la prévalence des CIN et une diminution de la moyenne d’âge des patientes porteuses de ces lésions.

Pour les patientes porteuses d’une CIN3 le risque de développement d’un cancer au bout de 30 ans est estimé entre 31 et 50 % en l’absence de traitement. Les délais de développement d’un cancer à partir d’une CIN 3 varient en moyenne entre 5 et 19 ans, mais des évolutions plus rapides sont quelquefois rapportées, particulièrement en cas d’infection par HPV16.

Adénocarcinomes in situ
L’adénocarcinome in situ (AIS) représente 1 % des lésions précancéreuses du col et survient en moyenne chez les femmes entre 25 et 30 ans, soit environ 10 à 20 ans avant les adénocarcinomes invasifs du col utérin. La fréquence de ces lésions augmente surtout chez les femmes jeunes.

Environ 50 % des AIS sont associés à une lésion malpighienne intraépithéliale. Jusqu’à 90 % des AIS sont HPV-induits (surtout HPV18).

1/6