1 . 3  -  En faveur d’une lésion inflammatoire

1 . 3 . 1  -  Articulaire

     Les signes de rhumatisme inflammatoire périphérique se traduisent au début par un simple gonflement des parties molles (synovite) puis par une déminéralisation métaphysoépiphysaire « en bande », des érosions épiphysaires, un pincement irrégulier mais global de l’interligne articulaire et des géodes souschondrales (destruction articulaire) (figure 1.2).

Fig. 1.2. Aspect radiographique de polyarthrite rhumatoïde. Érosions rhumatoïdes caractéristiques des articulations des doigts traduisant l’agressivité de la synovite rhumatoïde

1 . 3 . 2  -  Osseuse

     Dans certains rhumatismes inflammatoires (rhumatisme psoriasique), il existe un processus constructeur se traduisant par des condensations et proliférations des zones osseuses sous-lésionnelles, des réactions périostées souvent importantes (ostéopériostite), plus tardivement par une ankylose osseuse. Les enthèses sont le siège d’une inflammation osseuse (ostéite) apparaissant sous la forme d’une ostéocondensation ou d’une modification de la trame osseuse évoluant vers une ossification (enthésophytes).

1 . 3 . 3  -  Rachidienne

     Les images de spondylite sont constituées par des érosions des angles vertébraux, cernées par une réaction osseuse condensante (spondylite érosive de Romanus), rendant le bord vertébral antérieur rectiligne (mise au carré des vertèbres). Secondairement, se développe un processus d’ossification sous-ligamentaire à partir des angles vertébraux : c’est le syndesmophyte (plus fin et plus vertical que l’ostéophyte) pouvant conduire à une ossification intersomatique (colonne « bambou » des spondylarthropathies) (figure 1.3).

Fig. 1.3. Aspect radiographique de spondylarthropathie inflammatoire chronique. Atteinte caractéristique de la charnière dorsolombaire avec, à la phase de reconstruction, une ossification en « pont » dénommée syndesmophyte

1 . 4  -  En faveur d’une lésion dégénérative

1 . 4 . 1  -  Articulaire

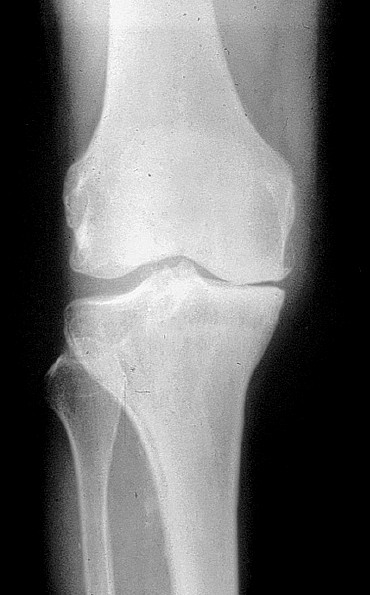
     Les signes cardinaux de l’arthrose sont le pincement localisé de l’interligne articulaire dans les zones de contraintes mécaniques, l’ostéocondensation souschondrale, les géodes sous-chondrales cerclées et l’ostéophytose (figure 1.4)

Fig. 1.4. Aspect radiographique d’arthrose périphérique. Radiographie standard du genou de face en charge : gonarthrose fémorotibiale interne

1 . 4 . 2  -  Rachidienne

     La discarthrose se traduit par un pincement global ou focal du disque intervertébral, une condensation sous-chondrale et une ostéophytose des plateaux vertébraux (figure 1.5) ; l’arthrose zygapophysaire par une condensation des facettes articulaires, un pincement articulaire sur les clichés de trois quarts, une ostéophytose à développement endo- ou exocanalaire, un remodelage et une horizontalisation des surfaces articulaires, responsable avec la dégénérescence discale d’un spondylolisthésis dégénératif.

Fig. 1.5. Aspect radiographique d’arthrose rachidienne. Discarthrose L5-S1 à la radiographie standard
2/10