Campus Gynécologie-Obstétrique
Item 309 : Tumeurs du sein
Collège National des Gynécologues et Obstétriciens Français (CNGOF)
Pré-requis et Objectifs
Cours
Evaluations
Annexes
Iconographie
Bibliographie
Recommandations
Votre Avis
Ressources Enseignants
Aide
Auteurs
Contacts
Retour au cours
Figure 20.11 Arbre décisionnel : prise en charge thérapeutique des carcinomes invasifs opérables d’emblée
Figure 20.11 Arbre décisionnel : prise en charge thérapeutique des carcinomes invasifs opérables d’emblée.
Retour au cours
Figure 20.12 Arbre décisionnel : prise en charge thérapeutique des carcinomes invasifs ne permettant pas un traitement conservateur d’emblée
Figure 20.12 Arbre décisionnel : prise en charge thérapeutique des carcinomes invasifs ne permettant pas un traitement conservateur d’emblée.
Retour au cours
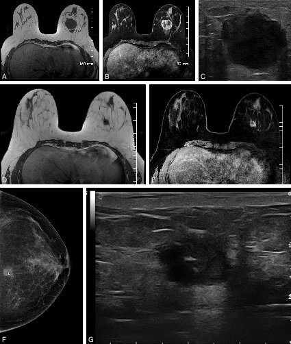
Figure 20.13 Intérêt de l’IRM en cas de chimiothérapie néoadjuvante
Figure 20.13 Intérêt de l’IRM en cas de chimiothérapie néoadjuvante.
A, B, C. Bilan d’imagerie avant chimiothérapie néoadjuvante. D, E, F, G. Bilan d’imagerie en fin de chimiothérapie, avant la chirurgie.