Retour au cours
Figure 20.6 Aspect mammographique d’un kyste (opacité arrondie, à contours nets)
Figure 20.6 Aspect mammographique d’un kyste (opacité arrondie, à contours nets)
Retour au cours
Figure 20.7 Masse dense à contours irréguliers, avec spicules courts partant du bord de la masse.
Figure 20.7 Masse dense à contours irréguliers, avec spicules courts partant du bord de la masse.
Retour au cours
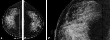
Figure 20.8. A, B, C Aspect de rupture architecturale à la mammographie
Figure 20.8. A, B, C Aspect de rupture architecturale à la mammographie.
Retour au cours
Figure 20.9. A, B Image échographique suspecte d’un cancer du sein (contours flous, irréguliers, grand axe perpendiculaire à la peau, cône d’ombre postérieur)
Figure 20.9. A, B Image échographique suspecte d’un cancer du sein (contours flous, irréguliers, grand axe perpendiculaire à la peau, cône d’ombre postérieur)
Retour au cours
Figure 20.10 Arbre décisionnel : prise en charge thérapeutique des carcinomes intracanalaires
Figure 20.10 Arbre décisionnel : prise en charge thérapeutique des carcinomes intracanalaires.