Retour au cours
Pénétration de la micropipette contenant un spermatozoïde dans le cytoplasme ovocytaire
Retour au cours
Échographie par voie endovaginale d'un ovaire stimulé en vue de FIV
Retour au cours
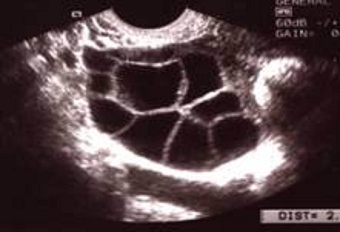
Embryon humain se développant in vitro
Embryon humain se développant in vitro. 1 : Œuf fécondé. 2 : Division en 8 cellules. 3 : Adhésion cellulaire. 4 : Morula compactée. 5 : Blastocyste. 6. Éclosion de la zone pellucide. (Sources : Wikipedia. Early Human Embryos [Internet]. Wikipedia; 2010.)
Retour au cours
Blastocyste de 5 jours, prêt pour le transfert embryonnaire
Sources : Wikipedia. Blastocyst, Day 5 [Internet]. Wikipedia; 2008.
Retour au cours
Vue cœlioscopique d'une torsion d'annexe