8 . 3 . 3  -  Vascularisation pulmonaire

8 . 3 . 3 . 1  -  Chez le sujet normal

Les 2 artères pulmonaires ont un calibre maximum de 15 mm ; la « trame » pulmonaire formée notamment par les vaisseaux est plus dense à la base qu’au sommet et diminue du hile à la périphérie. Elle définit la transparence pulmonaire. Les culs de sac costo-diaphragmatiques sont libres.

8 . 3 . 3 . 2  -  Modifications de la transparence pulmonaire

Une diminution de la transparence pulmonaire correspond habituellement à une stase veino-pulmonaire capillaire (insuffisance cardiaque gauche,) réalisant le « poumon cardiaque » avec différents stades (figures 34 et 35) :

stade 1 : redistribution vasculaire vers les sommets qui deviennent aussi denses que les bases

stade 2 : oedème interstitiel avec plusieurs aspects :

  • lignes de Kerley correspondant à un oedème des cloisons septales. Les mieux visibles sont les lignes B, petites lignes horizontales, fines et courtes siégeant à la base des champs pulmonaires.
  • oedème péribronchique visible sur les coupes des bronches périhilaires
  • oedème sous pleural avec apparition de scissures interlobaires
  • diminution de la transparence pulmonaire de façon bilatérale.


stade 3 : oedème alvéolaire (figures 34 et 35) lié à la transsudation de plasma dans les alvéoles pulmonaires avec apparition d’opacités bilatérales nodulaires et confluentes prédominant dans les régions périhilaires en « ailes de papillon ». Il est accompagné très souvent d’un épanchement pleural en règle générale, bilatéral (figure 35).

Figures 34 et 35 : Modifications de la transparence pulmonaire

Plus rarement la diminution de transparence pulmonaire relève d’une augmentation du débit pulmonaire: cardiopathie congénitale avec shunt gauche- droit.

Une augmentation de la transparence pulmonaire (poumons clairs) a pour cause en général un emphysème pulmonaire avec petit coeur vertical en goutte, espaces intercostaux et diaphragme horizontaux donnant un aspect de thorax distendu. Plus rarement, elle peut être due à une diminution du débit pulmonaire par obstacle sur les artères pulmonaires (certaines cardiopathies congénitales, coeur pulmonaire chronique embolique) causant une diminution de la trame vasculaire et une hyperclarté distale.

8 . 3 . 4  -  Conclusion

La radiologie de thorax est un examen de base dans l’exploration non invasive du coeur.
Elle donne des informations sur la silhouette du coeur et des gros vaisseaux ainsi que sur l’hémodynamique pulmonaire.
Un cliché normal n’exclut pas une cardiopathie mais une silhouette cardiaque anormale indique une anomalie qui mérite de pousser plus loin les explorations.

8 . 4  -  Scanner thoracique

Le scanner thoracique est un système d’imagerie en coupes, avec de nombreux systèmes informatiques de reconstruction . Les images sont diffusées par CD-ROM.

C’est un examen très performant pour l’examen de la plupart des organes.

En cardiologie, il est très utilisé pour l’examen des gros vaisseaux thoraciques et le diagnostic de leurs pathologies, (anévrysmes, dissections, embolies pulmonaires) notamment dans le cadre de l’urgence.

Les machines les plus récentes (64 barrettes ou plus), permettent d’examiner le cœur, et les coronaires (figure 5 chapitre 1) avec des limites qui reculent sans cesse avec les progrès technologiques.

Ses inconvénients majeurs sont le caractère très irradiant et l’utilisation presque constante de produits radiologiques iodés de contraste en assez grande quantité. De ce fait, si possible, on évitera une prescription trop extensive de cette modalité d’imagerie.

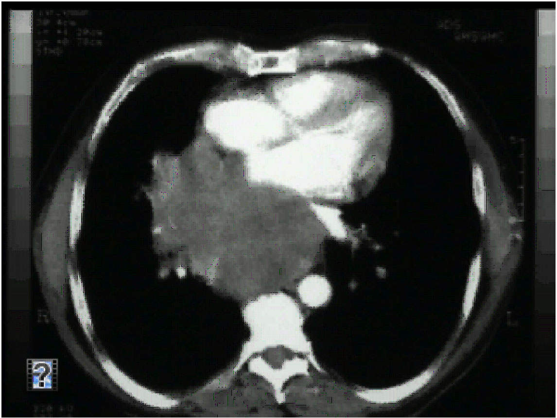
Figure 36 : Scanner thoracique : Tumeur broncho pulmonaire envahissant les oreillettes (flèche)
13/19