8 . 3  -  Sémiologie radiologique du coeur

L’analyse de la radio de thorax comprend : l’appréciation de la taille du cœur, l’identification des arcs de la silhouette cardiaque, l’analyse des gros vaisseaux de la base, la recherche de calcifications, l’appréciation de la vascularisation pulmonaire .

8 . 3 . 1  -  Taille du coeur

Elle est appréciée par le calcul du rapport cardiothoracique (RCT) qui est le rapport (1+2/T) entre le diamètre maximal du coeur et le diamètre maximal du thorax mesuré sur le cliché de face pris debout en inspiration profonde (figure 26).

Figure 26 : Taille du coeur

Le RCT normal ne dépasse pas O.5O . Il est pathologique au-delà de O.55 et l’on parle alors de cardiomégalie.

8 . 3 . 2  -  Analyse des cavités cardiaques

L’hypertrophie ou dilatation d’une cavité cardiaque entraîne des modifications de telle ou telle partie de la silhouette cardiaque :

8 . 3 . 2 . 1  -  Oreillette droite (OD)

L’augmentation de son volume (figure 27) est essentiellement appréciée sur le cliché de face : arc inférieur droit allongé et plus convexe.

Figures 27 et 28 : oreillette droite - ventricule droit

8 . 3 . 2 . 2  -  Ventricule droit (VD)

En augmentant de volume, le VD pivote vers la gauche refoulant le ventricule gauche ce qui entraîne sur l’incidence de face en cas de dilatation VD importante une saillie de l’arc inférieur gauche convexe avec un aspect arrondi de la pointe surélevée (figure 28).

De profil, le VD dilaté bombe en avant comblant l’espace clair rétrosternal.

8 . 3 . 2 . 3  -  Oreillette gauche (OG)

De face, l’OG ne participe pas normalement à la formation de la silhouette cardiaque. Une dilatation importante (figure 29) entraîne son débord sur la partie haute de l’arc inférieur droit formant une image en double contour. Son expansion vers la gauche crée une saillie de la partie inférieure de l’arc moyen gauche par dilatation de l’auricule gauche. La trachée se divise en 2 bronches souches qui font normalement un angle aigu ; une OG dilatée peut les écarter (signe du cavalier).

Figures 29 et 30 : Oreillette gauche - Ventricule gauche

8 . 3 . 2 . 4  -  Ventricule gauche (VG)

De face, son augmentation de volume (figure 30) entraîne un allongement de l’arc inférieur gauche déplacé vers le bas et la gauche avec l’apex s’enfonçant dans le diaphragme. Le VG se rapproche de la limite latérale gauche du thorax.

8 . 3 . 2 . 5  -  Gros vaisseaux

La dilatation de l’artère pulmonaire (AP) est appréciée (figure 31) sur l’incidence de face :arc moyen anormalement saillant.
La dilatation de l’aorte ascendante entraîne de face une convexité anormale de l’arc supérieur droit (figure 32).

Figures 31 et 32 : Gros vaisseaux

8 . 3 . 2 . 6  -  Calcifications cardiaques

Toutes les calcifications cardiaques sont pathologiques. Elles peuvent être visibles sur les clichés radiographiques de thorax, sous amplificateur de brillance et au scanner thoracique. Elles peuvent siéger dans les différentes structures du cœur :

  • valvulaires : touchant préférentiellement les valves mitrale et aortique.
  • coronaires : calcifications linéaires le long des troncs proximaux des artères coronaires. Le « score calcique » coronaire établi en scanner est un index pronostique défavorable significatif.
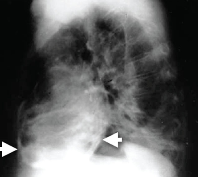
  • péricardiques : formant de bandes linéaires autour de la silhouette cardiaque. Elles prédominent au niveau des sillons et de la face inférieure du coeur. Elles peuvent au maximum former une coque calcaire comprimant le coeur (figure 33).
  • myocardiques : arciformes en plein myocarde essentiellement ventriculaires gauches correspondant à une séquelle d’infarctus du myocarde.
  • de l’aorte thoracique : réalisant un fin liséré opaque ou des bandes linéaires le long des bords du vaisseau.
Figure 33 : Exemple de calcifications : Calcifications péricardiques (flèches)
12/19