12  -  IRM cardiaque

12 . 1  -  Introduction

L’imagerie par résonance magnétique nucléaire est une imagerie utilisant des champs magnétiques intenses permettant d’examiner de manière non invasive et non irradiante l’appareil cardiovasculaire.

De nombreuses séquences d’imagerie sont disponibles permettant d’examiner de manière statique ou dynamique l’appareil cardiovasculaire. Quelle que soit la séquence choisie, il existe un contraste spontané entre le sang circulant et les parois du coeur et des vaisseaux. Il peut être cependant nécessaire d’utiliser un produit de contraste paramagnétique (contenant habituellement un complexe à base de Gadolinium) à utiliser avec précaution en cas d’insuffisance rénale.

12 . 2  -  Condition de l'examen ; contre indications

Le patient n’a pas besoin d’être à jeun. Il sera dévêtu (sauf linge de corps) et habillé avec une blouse, pour s’assurer de l’absence de pièces ferro-magnétiques qu’il serait dangereux d’introduire dans l’aimant.

L’examen est contre indiqué lorsque le patient est porteur d’un stimulateur ou d’un défibrillateur cardiaque implanté. De même la présence de corps étranger ferro-magnétique à l’intérieur de l’organisme du patient pourra faire contre-indiquer l’examen . Il est difficile d’examiner les patients ventilés artificiellement, et pour l’instant en cardiologie cette situation contre indique habituellement l’examen.

Les patients claustrophobes supportent mal le séjour dans l’aimant et certains ne peuvent y entrer.

L’examen cardiaque, pour être de qualité doit être synchronisé à l’ECG du patient. Si le rythme n’est pas régulier, la qualité sera moindre. En cas de rythme très irrégulier, l’examen par IRM est à éviter. Cette synchronisation à l’ECG permet en outre de préciser la position chronologique des différentes coupes par rapport au cycle cardiaque.

12 . 3  -  Sémiologie de base des images

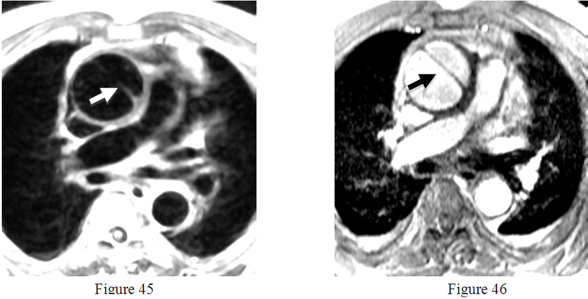
L’examen comporte habituellement la réalisation de coupes dans plusieurs plans de l’espace, utilisant des techniques « sang noir » et « sang blanc ».Avec les premières (figure 45), les cavités du cœur et des vaisseaux, noires, contrastent spontanément avec la paroi qui apparaît grise. Avec les secondes (figure 46) qui comportent notamment les images dynamiques en ciné-IRM, le sang est blanc et contraste avec les parois qui sont grises. (clichés présentés : coupes petit axe avec deux modes d’imagerie d’une dissection de l’aorte ascendante : flèches).

Figures 45 et 46 : Sémiologie de base des images

Le signal IRM peut être renforcé par l’injection de produits de contraste qui habituellement sont des produits contenant des complexes de Gadolinium. L’injection intraveineuse de ces produits renforce le signal du sang qui le transporte, particulièrement dans les cavités cardiaques et vasculaires, mais aussi dans des structures hypervascularisées ou qui captent de manière anormale ce produit.

12 . 4  -  Principales indications actuelles

L’IRM apporte des informations souvent irremplaçables pour :

  • l’étude de la fonction des deux ventricules (volumes, fractions d’ éjection)
  • la mesure de la masse myocardique du ventricule gauche
  • la recherche étiologique au cours des tachycardies ventriculaires inexpliquées
  • le bilan initial au cours des cardiomyopathies dilatées
  • la prédiction de récupération de fonction au décours de l’infarctus myocardique (viabilité),
  • le bilan des masses intracardiaques (tumeurs, thrombus) de diagnostic difficile
  • le bilan et le suivi des pathologies de l’aorte thoracique (anévrysme, dissection, aortes opérées), et des gros vaisseaux notamment au cours des cardiopathies congénitales parvenues à l’âge adulte.


Cette liste n’est pas limitative, et les importants développements de cette technique non invasive, notamment pour l’examen des coronaires laisse présager une large utilisation en cardiologie au cours des prochaines années.

Le document final remis au patient est habituellement un CD Rom, associé au compte rendu.

18/19