3 - Quels sont les diagnostics différentiels ?

 

Sommaire

Atélectasie transitoire : des phénomènes d'atélectasie segmentaire transitoire peuvent se produire. Ils se traduisent échographiquement par une hyperéchogénicité du parenchyme pulmonaire en aval de l'atélectasie simulant une MAKP de type microkystique. Cette hyperéchogénicité disparait lorsque l'atélectasie se lève. Ce phénomène pourrait expliquer certaines " disparitions " de MAKP.

Séquestration pulmonaire : c'est le principal diagnostic différentiel de la MAKP. Les deux malformations sont en fait souvent associées au sein d'une même lésion [4, 13], et leur diagnostic n'est pas capital car il ne modifie pas profondément la prise en charge post-natale [5]. Le principal critère du diagnostic de la séquestration est la mise en évidence d'une vascularisation de la lésion par une artère aberrante naissant de l'aorte.

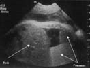
Masse hyperéchogène siègeant dans le base pulmonaire. Triangulaire si extra-lobaire, ronde si intra-lobaire.

Hernie diaphragmatique : ce diagnostic différentiel d'une forme macrokystique peut parfois être difficile à faire. L'absence de mouvements péristaltiques, la continuité du diaphragme orienteront vers une MAKP.

Kyste bronchogénique : le diagnostic différentiel peut parfois être plus difficile. Classiquement le kyste bronchogénique est situé plus au centre du thorax que la MAKP …

Tératome intrathoracique

Kyste neuro-entérique

Lymphangiome kystique thoracique

Kyste pleuro-péricardique

 

 4 - Quelle est l'évolution ?

 

Sommaire

Anasarque

L'anasarque représente la complication évolutive majeure de la MAKP in utero.
Echographiquement, l'anasarque se traduit par épaississement du revêtement cutané, une ascite et des épanchements pleural et péricardique.
Elle s'explique par les altérations hémodynamiques liées par l'obstacle au retour veineux et par la compression cardiaque qu'induit le volume de la tumeur [2, 14].
Sa fréquence est variable selon les séries : de 7 à 8 % [10, 16], à environ 1/3 des cas [2, 6, 14, 20].
En présence d'une anasarque, ou après sa résolution, il faudra examiner soigneusement le cerveau du fœtus pour rechercher des lésions de leucomalacie provoquées par les troubles hémodynamiques.

Hydramnios

Les anomalies de la quantité de liquide amniotique sont souvent associées à la MAKP : dans 10 à 30 % des cas [6, 10, 16, 18, 20], sans qu'il soit possible de savoir s'il s'agit d'hydramnios se traduisant par des signes cliniques ou d'hydramnios échographique. C'est l'un des principaux signes d'appel.
L'hydramnios est en rapport avec une diminution de la déglutition fœtale par compression œsophagienne et avec une augmentation des sécrétions pulmonaires par la MAKP [1, 8, 16, 18].
L'hydramnios majeur peut compromettre la poursuite de la grossesse par le risque d'accouchement prématuré et justifie une intervention thérapeutique. En revanche, le simple excès de liquide n'est pas un élément de mauvais pronostic [15].

Hypoplasie pulmonaire

L'hypoplasie pulmonaire du poumon sain en rapport avec la compression par la MAKP et/ou un épanchement pleural est difficile à diagnostiquer [20]. Elle sera suspectée lorsqu'il existe un effet de masse important ou un épanchement pleural, même si la compression n'entraîne pas nécessairement une hypoplasie pulmonaire [15].

Disparition ou régression

Plusieurs cas de régression totale de la MAKP ont été rapportés. Cette éventualité n'excèderait pas plus de 6 à 11 % des cas [8, 16].
Il est plus fréquent de noter une régression de la taille de la lésion, soit absolue (par passage du liquide contenu dans la lésion vers l'arbre bronchique ?, par insuffisance de vascularisation ?), soit relative, la lésion croissant moins rapidement que le fœtus [2, 6, 10, 18, 20, 21].
L'évolution prénatale de la MAKP est en fait difficile à prévoir : elle peut être stable, augmenter ou diminuer de volume.

Syndrome miroir chez la mère [2]

Des cas de prééclampsie ont été décrits chez des mères de fœtus porteurs de MAKP, à l'instar de ce qui a été décrit dans des cas de tératome sacro-coccygien [8].

 

 5 - Conduite à tenir

 

Sommaire

Prénatale

Lorsqu'un diagnostic de MAKP est évoqué, il est nécessaire d'effectuer un bilan morphologique soigneux afin de confirmer le diagnostic, et d'éliminer les diagnostics différentiels, de rechercher des malformations associées, en particulier cardiaques, et d'évaluer le retentissement de la malformation sur le fœtus.
Le bilan morphologique précise la localisation de la lésion, son type, sa taille, éventuellement la taille des kystes. Il recherche une déviation ou une compression médiastinale, une éversion du diaphragme et des signes discrets de décompensation fœtale.
Un caryotype est réalisé de principe : quelques cas d'anomalies chromosomiques associés de façon fortuite ont été décrits (T21, T18) [8, 10].

Après le diagnostic, en l'absence d'anasarque, il est dans tous les cas nécessaire avant de prendre une décision de se laisser une période d'observation, certaines lésions régressant spectaculairement [10].
Les indications thérapeutiques prénatales sont peut fréquentes [15]. Elles concernent les fœtus porteurs d'une lésion macrokystique avec un kyste prédominant, ceux en anasarque et les hydramnios majeurs. La thoracocentèse simple peut être une manœuvre de temporisation. Le liquide se réaccumule rapidement [2].
Le shunt thoraco-amniotique peut être proposé dans les formes avec un kyste prédominant, lorsque le pronostic vital du fœtus est mis en jeu [4, 6]. La mortalité reste cependant élevée, malgré la réduction du volume tumoral, en particulier à cause de la persistance de petits kystes non vidangés par le drain.

L'équipe américaine de Adzick et Harrison a effectué plusieurs interventions de chirurgie fœtale in utero chez des fœtus porteurs de lésions microkystiques, en anasarque, avec 8 succès sur 13 cas, la difficulté tenant au contrôle de l'accouchement prématuré [2].
L'amniocentèse de décompression est indiquée en cas d'hydramnios majeur symptomatique cliniquement [6].
Une interruption médicale de la grossesse peut être proposée en cas de malformation associée et/ou d'hydrops sans possibilité de drainage, bien que des observations de résolution spontanées d'une anasarque aient pu être observées [9].

La surveillance ultérieure se fera par des échographies régulières, toutes les 2 à 4 semaines [6, 10], en fonction de la taille de la MAKP, de son évolution et de son retentisement sur le fœtus.
Il n'y a pas d'indication à extraire prématurément le fœtus, sauf en cas d'apparition de signes de décompensation en l'absence de possibilité de drainage.
La naissance doit se faire dans une maternité dotée d'un service de réanimation néonatale.

Post natale

L'intervention chirurgicale rapide s'impose lorsque le nouveau-né présente une détresse respiratoire (segmentectomie, lobectomie) [21].
Dans les autres cas, un bilan morphologique post-natal est réalisé : radiographie pulmonaire, scanner thoracique. La lésion peut ne pas être vue sur une radiographie standard [7, 10]. Il y a peu de chances que la lésion régrese après la naissance [21].

Si le scanner thoracique ne retrouve pas de lésion, l'enfant sera surveillé cliniquement. Lorsque le scanner retrouve une lésion, l'attitude est plus discutée [10, 16, 18, 20]. Certaines équipes préconisent l'exérèse de la lésion, même en l'absence de symptomatologie, avant que ne surviennent les complications à type d'infection, voire de cancérisation. Cette attitude permet d'intervenir sur des enfants en bonne santé, dans de bonnes conditions, mais elle amène à opérer des enfants dont la MAKP ne se serait peut-être jamais manifestée. L'autre avantage est de pouvoir opérer des enfants avant l'âge de 2 ans, chez lesquels le poumon sain pourra encore se développer pour compenser la perte de substance. D'autres équipes n'opèrent que des enfants ayant déjà présenté des complications [20]. L'intervention peut être rendue plus difficile par des remaniements locaux liés à l'inflammation.

 

 6 - Pronostic

 

Sommaire

Fœtal et néonatal

Le pronostic fœtal et à long terme est bon, en l'absence d'anasarque [2, 6, 16] : le taux de survie est voisin de 100 % chez ces fœtus. Dans les cas de Thorpe-Beeston, 4 enfants (sur 36 dont la grossesse n'avait pas été interrompue) sont décédés, malgré l'absence d'anasarque : l'un présentait des malformations associées et les trois autres sont nés prématurément (24, 26 et 33 SA) [20].

L'interruption médicale de la grossesse reste le principal facteur de mortalité chez les fœtus porteurs d'une MAKP [10]. L'hydramnios majeur expose à l'accouchement prématuré avec ses propres conséquences, en l'absence de prise en charge obstétricale adéquate.
La survenue d'une anasarque est le principal facteur pronostique de la MAKP. La mortalité est alors très importante : près de 100 % des cas en l'absence de traitement [2]. Dommergues rapporte dans sa série un cas de régression spontanée d'une MAKP de type III permettant la résolution de l'anasarque [6]. La prise en charge thérapeutique permet de diminuer quelque peu la mortalité dans ces cas : 15 à 25 % de survie [2, 6].

L'âge gestationnel au diagnostic, la taille initiale de la lésion et des kystes, le type de MAKP, l'uni- ou la bilatéralité des lésions, la déviation médiastinale n'influencent pas le pronostic [3, 8, 12, 17].

A long terme

Le pronostic à long terme des MAKP est bon [8]. Après intervention, ces enfants pourront mener une vie normale, sans restriction en particulier dans leurs activités sportives.
En l'absence d'intervention, l'évolution peut être émaillée de complications.

 
Dernière mise à jour : 19/12/2005
Page Précédente
Sommaire