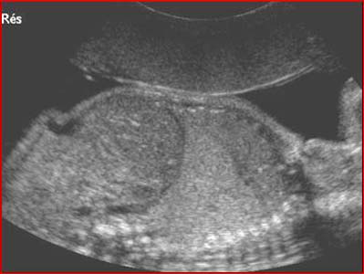
Masse hyperéchogène dans le base pulmonaire
| Iconographie précédente | Retour cours | Index iconographique | Iconographie suivante |