3 - Critères échographiques de bénignité d’une tumeur du sein

 

Sommaire

Deux types de lésions bénignes peuvent apparaître dans un lobe :
- Lacune anéchogène pure liquidienne,
- Lacune hypoéchogène, homogène ou hétérogène selon sa nature,

Critères échographiques d’analyse :
- Echostructure,
- Axe par rapport au plan cutané,
- Aspect des contours,
- Signes ligamentaires et indirects associés,
- Test de compressibilité,
- Biométrie,
- Topographie (distance par rapport au mamelon, au plan cutané),
- Reporter les informations sur un schéma,
- Signes évolutifs,
- Etude Doppler de la lésion.

L’hyperplasie (canalaire ou lobulaire)

Stade évolutif obligatoire entre épithélium normal et pathologie bénigne ou maligne.

Elle va permettre de visualiser des structures non spontanément visibles :
Canaux et lobules qui se remplissent de matériel cellulaire hypoéchogène et de structure solide finement échogène.
Les lobules sont disposés le long des axes canalaires et présentent une grande variété de formes :
- feuille pédiculée,
- feuille bi ou trilobée,
- massue,
- club de golf,
- boule de gui.
Ces images peuvent coloniser les ligaments de Cooper.

L’hyperplasie détermine une population de femmes à risque.

Surveillance échographique régulière en l’absence de cytoponction (tous les trois à six mois).

Pas de critères échographiques pour différencier une hyperplasie banale d’une hyperplasie atypique.


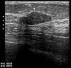
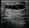
Kyste et maladie fibrokystique

Les kystes ont 2 origines : canalaire ou lobulaire.

- Arrondis ou ovalaire,
- Contours réguliers,
- Anéchogènes le plus souvent.





Parfois finement échogènes (contenu trouble et épais) :


Parfois aspect solide ou mixte :



¤ avec ou sans niveau liquide (kyste hémorragique),
¤ avec ou sans végétation,
¤ avec ou sans cloison.

- Grand axe horizontal,

- Renforcement postérieur et ombre de réflexion latérale,



- Pas de modification ligamentaire,
- Test de compressibilité positif sauf si tension importante,
- Doppler : Encorbellement vasculaire harmonieux du kyste, pas de signal interne,
- Evolution variée (stable ou augmentation rapide du volume, souvent disparition),
- Isolés ou multiples dans un lobe, affectant souvent plusieurs lobes, souvent symétriques,
- Souvent associés à d’autres lésions.


Le canal galactophore

Normalement non visible il peut l’être en cas d’hyperplasie, de tumeur intraluminale avec ou sans ectasie (papillome).

Ectasie :
Contenu intraluminal anéchogène ou très hypoéchogène.
Diamètre variant de 1/10ème de mm à plus d’un cm.

En période ménopausique, la présence d’une fine ectasie permet d’affirmer la nature lobaire d’un cordon hyperéchogène d’un environnement graisseux important.
Le parenchyme est alors très faible mais le nombre de cancer plus important.

Papillomes :
Dans un canal galactophore plus ou moins distendu.

Echostructure :
¤ Initialement spot hyperéchogène lisse,
¤ Puis plus volumineux à contour irrégulier sans effraction de la paroi canalaire,
¤ Puis deviennent hypoéchogène hétérogène.
Leur axe suit celui du canal.
Parfois unique, le plus souvent multiple.
Pas de signal Doppler.


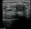
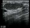
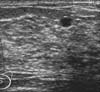
Tumeurs fibro-épithéliales (Adénofibrome et tumeur phyllodes)

Tumeurs solides.
Aspect échographique semblable.

Aspect échographique :

- Arrondie ou ovalaire,
- Parfois polylobé,
- Grand axe parallèle à la peau,
- Contours réguliers,
- Hypoéchogène, homogène

Avec le temps, plus hétérogène avec :
* zones de nécrose,
* kystisation (surtout tumeurs phyllodes de gros volume),
* calcifications internes.



- En cas de petit adénofibrome très cellulaire, renforcement postérieur et ombres latérales de réflexion,
- Mode doppler :
* arcades vasculaires régulières délimitant la tumeur,
* pédicule vasculaire intra-tumoral sans modification de calibre ni de trajet comme dans les cancers.


Hamartome (adénofibrolipome)

Lésion rare, échographiquement peu spécifique.

- Hypoéchogène solide,
- Hétérogène,
- Arrondie,
- Contour peu net.

Lipomes

Echographiquement peu spécifique.

Savoir évoquer les nécroses graisseuses qui ont un aspect trompeur de lésion maligne.
- Stéatonécroe,
- Adénosclérose,
- Granulome de fibrose post-opératoire.

Contexte clinique parfois évocateur, post-opératoire, post-traumatique ; parfois d’apparition spontanée.

Aspect échographique :
- Hypoéchogène, hétérogène,
- Grand axe vertical,
- Contours irréguliers,
- Cône d’ombre postérieur,
- Epaississement ligamentaire,
- Parfois microcalcifications,
- Doppler : pas de signal.

Eviter les biopsies inutiles.


Hématomes

Contexte évocateur, post-opératoire, traumatisme.

- Hypoéchogène, hétérogène,
- Limitée ou importante,
- Parfois pseudo-kystique pouvant évolué vers la cytostéatonécrose.

Evolution à suivre échographiquement.


Abcès

Tableau inflammatoire caractéristique.

- Zone périphérique dense hypoéchogène englobant la peau et le bord supérieur du lobe,
- Zone centrale hypoéchogène hétérogène pouvant rapidement augmenter de volume avec aspect polylacunaire étendu.


Tumeurs malignes d’allure échographique bénigne

Cancer colloïde, cancer médullaire.

Sont :
* Arrondis,
* Solides,
* Contours réguliers,
* Peu de signes de déstructuration latéraux.

Toute lésion solide du sein doit être ponctionnée ou enlevée.

Page Précédente
Page Suivante
Sommaire