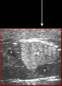
MAKP - microkystique
| Iconographie précédente | Retour cours | Index iconographique | Iconographie suivante |