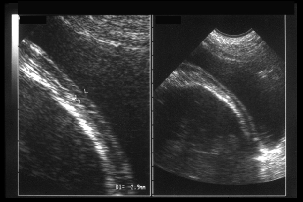
Amincissement du segment inférieur

Iconographie précédente | Retour cours | Index iconographique | Iconographie suivante |