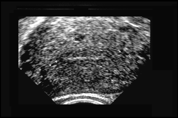
Adénomyose utérine. Coupe transversale - myomètre hyperéchogène hétérogène avec cavités de petite taille (+) - gros utérus.

Iconographie précédente | Retour cours | Index iconographique | Iconographie suivante |