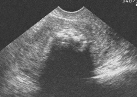
Myome calcifié. Cône d’ombre postérieur (Cliché : Dr. C. TALMANT)

Iconographie précédente | Retour cours | Index iconographique | Iconographie suivante |