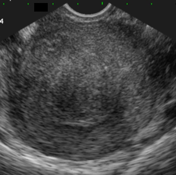
Myome sous-muqueux hypoéchogène par rapport à l’endomètre. Coupe transversale (Cliché : Dr. C. TALMANT)

Iconographie précédente | Retour cours | Index iconographique | Iconographie suivante |