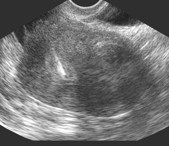
Utérus en coupe sagittale. Myome intra-mural sous-séreux. DIU en place (Cliché : Dr. C. TALMANT)

Iconographie précédente | Retour cours | Index iconographique | Iconographie suivante |