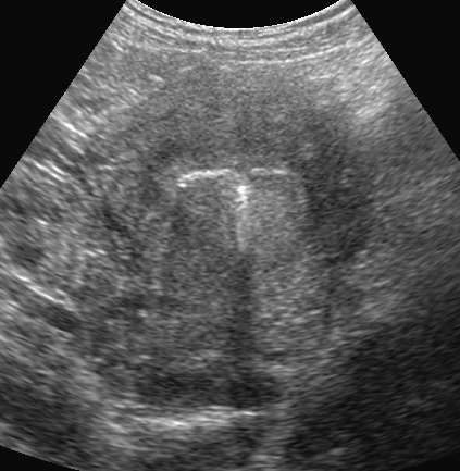
Utérus en coupe frontale. DIU en place (Cliché : Dr. C. TALMAN).

Iconographie précédente | Retour cours | Index iconographique | Iconographie suivante |