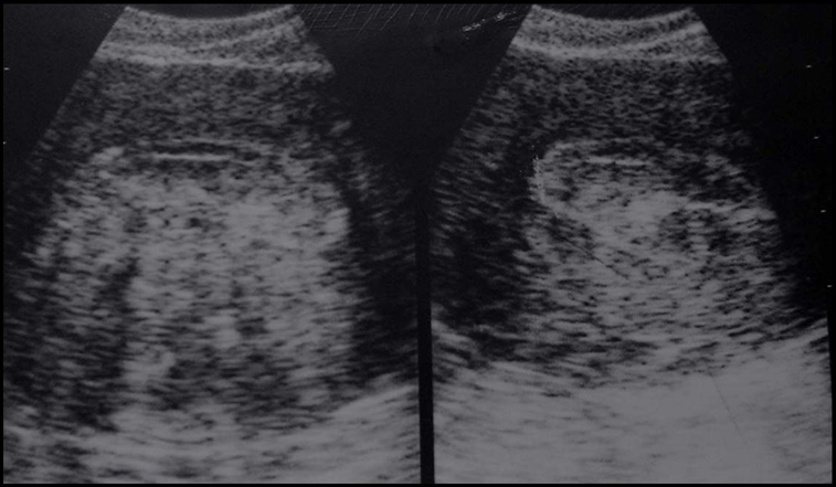
Cancer de l’endomètre. Bourgeons hyperéchogènes dans le muscle

| Iconographie précédente | Retour cours | Index iconographique | Iconographie suivante |