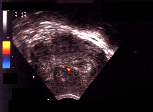
Myome sous-muqueux. On observe un déplacement de l'axe cavitaire, le doppler couleur identifie un vaisseau

| Iconographie précédente | Retour cours | Index iconographique | Iconographie suivante |