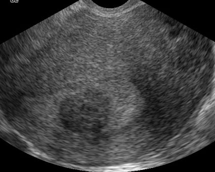
Myome sous-muqueux, arrondi, hypoéchogène par rapport à l’endomètre
(Cliché : Dr. C. TALMANT)

| Iconographie précédente | Retour cours | Index iconographique | Iconographie suivante |