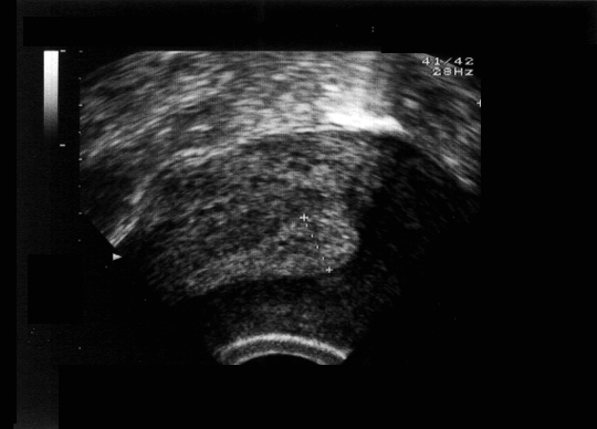
Endomètre. Au 21ème jour du cycle, l'endomètre en phase sécrétoire apparaît comme une bande échogène uniforme, avec parfois quelques images kystiques. L'épaisseur normale peut atteindre 12 mm

| Iconographie précédente | Retour cours | Index iconographique | Iconographie suivante |