Iconographies :

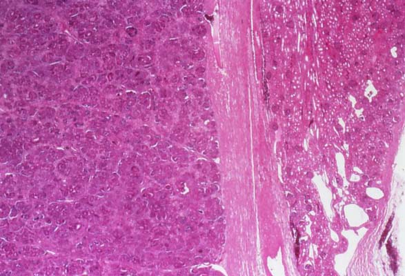
Tumeur de Wilms
Tumeur de Wilms
Tumeur de Wilms

Tumeur de Wilms

Tumeur de Wilms
Tumeur de Wilms

Tumeur de Wilms

Iconographies Précédentes
Iconographies Suivantes