Iconographies :

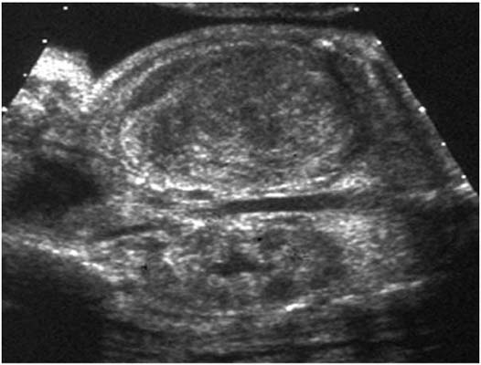
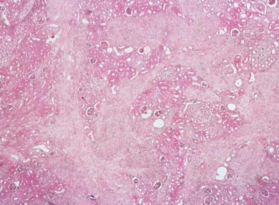
Tumeur de Bolande
Tumeur de Bolande
Tumeur de Bolande

Tumeur de Bolande

Tumeur de Bolande
Tumeur de Bolande
Iconographies Précédentes
Iconographies Suivantes