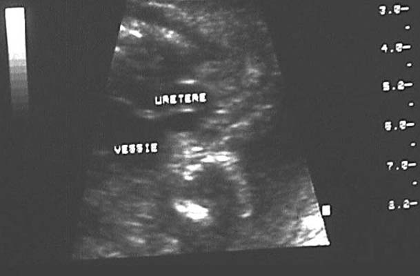
Urétéro-hydronéphrose :

Dilatation urétérale : Structure tubulée à contenu anéchogène, rectiligne ou tortueuse, pouvant présenter des variations de calibre en rapport avec le péristaltisme.

La dilatation urétérale peut parfois dépasser la ligne médiane et suggérer une origine digestive. La mise en évidence d’une dilatation calicielle permet d’évoquer plutôt une uropathie malformative.

Diagnostic :

*Obstacle de la jonction urétéro-vésicale :

- Méga-uretère primitif congénital

- Abouchement ectopique avec ou sans urétérocèle (dilatation kystique de l’extrémité distale de l’uretère au sein de la lumière vésicale). Sont associés dans la moitié des cas à une duplication de la voie excrétrice.
- Reflux vésico-urétéral (La variabilité avec le temps et la visualisation de l’uretère ou la majoration de la dilatation au cours d’une miction sont en faveur d’un reflux)

*Causes :

Primitif par anomalie anatomique ou par immaturité du detrusor
Secondaire à un obstacle sous-vésicale ou à une pathologie neurologique
*Fréquence : 1,2% des enfants, 60% bilatérale, ratio H/F 4
*Éléments de syndrôme :
S. Rein-Colobome (Autosomique dominant)
S. de Zellweger (Autosomique récessif)
*Évolution : régression dans 20% des cas
*Sémiologie échographique :
pyélectasie modérée <10mm, dilatation épisodique
Aspect variable, parfois méga-vessie-méga-uretère


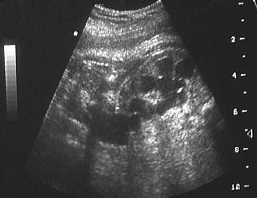
*Duplications :

- Disparité de calibre entre la dilatation calicielle supérieure et le pyélon inférieur, souvent moins dilaté.
- Mise en évidence de parenchyme rénal séparant les deux pyélons.
- Individualisation de deux uretères.

En cas de dilatation sur le seul pyélon supérieur, discuter une image kystique du pôle supérieur du rein :

- Hydrocalice
- Kyste rénal
- Image liquidienne extra-rénale (hématome de la surrénale, kyste intra-abdominale)

La mise en évidence d’une dilatation urérétérale sous-jacente permet de faire le diagnostic.
Si urétéro-hydronéphrose bilatérale, rechercher une vessie anormale évocatrice d’un obstacle urétro-vésical.

Evaluation pronostique d’une uropathie

S’appuie sur des critères morphologiques :

- Amincissement du parenchyme (peu fiable)
- Hyper-échogénicité du parenchyme rénal
- Mise en évidence de petites lésions kystiques
- Rein de petite taille
- Absence d’augmentation du diamètre bipolaire du rein en cas de dilatation importante
- Hypertrophie compensatrice du rein controlatéral
- Diminution du liquide amniotique bon signe d’altération de la diurèse dans les formes bilatérales

Conduite à tenir devant une uropathie :

- Rechercher une anomalie associée entrant dans le cadre d’un syndrome polymalformatif (VACTERL [ventricule, anus, cœur, trachée, Œsophage, côtes, mb], malformation ano-rectale, syndrome de régression caudale…)

- Rechercher des antécédents familiaux d’uropathie.

- Discuter la réalisation d’un caryotype fœtal.

-Devant une hydro ou urétéro-hydronéphrose isolée, surveillance évolutive toutes les 3 ou 4 semaines.

-Dans les formes très sévères discuter une ponction d’urine fœtale.

- Après la naissance, ne évaluation du retentissement fœtal s’impose :

- Echographie néonatale
- Bilan cystographique
- Scintigraphie, UIV

Page Précédente
Page Suivante
Sommaire