4 - Malformation de la vessie

 

Sommaire

Vessie de grande taille :

Rechercher un obstacle sous-vésical.

*Valve de l’urètre postérieur

Repli valvulaire développé au pied du veru montanum entraînant un obstacle à la miction et :

- Dilatation de l’urètre postérieur sus-jacent
- Vessie de lutte (de grand taille) dans un premier temps (paroi épaisse et diverticule)
- Dilatation hypotonique dans un deuxième temps (paroi fine)
- Parfois dilatation du haut appareil urinaire -soit par reflux
- soit par obstacle de la jonction urétéro-vésicale par épaississement de la paroi vésicale luttant contre l’obstacle

Complications :

- Dysplasie rénale
- Rupture vésicale (ascite urineuse)
- Rupture calicielle (rare)

Echographiquement :

- Vessie de grande taille à paroi épaisse et irrégulière ou fine et régulière
- Seul les fœtus de sexe masculin sont concernés…
- Dilatation de l’urètre postérieur : image liquidienne conique s’ouvrant ans le vessie
- Urétéro-hydronéphrose uni- ou bilatérale volontiers asymétrique (pronostic…)

Pronostic :

Selon :

- précocité du diagnostic
- importance de la dilatation
- signes de dysplasie rénale
- quantité de liquide amniotique

Evaluation par ponction d’urine fœtale avec analyse de la natriurèse et de la ß2-microglobuline.

Diagnostic différentiel :

- Reflux vésico-urétéro-rénal de haut grade avec mégavessie
- Atrésie urétrale
- Syndrome de Prune-Belly
- Syndrome mégavessie - microcôlon

*Syndrome de Prune-Belly

Association :

- mégavessie et dilatation des voies excrétrices d’amont
- hypoplasie des muscles grands droits (aspect ondulé de la paroi abdominale)
- cryptorchidie

*Syndrome mégavessie - microcôlon

Anomalie de l’innervation intrinsèque avec défaut de péristaltisme.
Surtout les fœtus de sexe féminin

Echographiquement :

- Vessie de grande taille
- Dilatation bilatérale de la voie excrétrice
- Estomac toujours bien rempli
- Excès de liquide amniotique souvent

Mégavessie par reflux :

Echographiquement :

- Vessie de grande taille à paroi fine
- Dilatation des uretères et des cavités pyélo-calicielles

Vessie neurologique :

Accompagnant des malformations de système nerveux type spina-bifida.
Grande vessie.

Vessie non visible :

Si liquide amniotique normal,

- contrôle à une heure voire test au furosémide
- rechercher une anomalie de fermeture de la paroi abdominale

Diagnostics :

- Extrophie vésicale (ouverture de la paroi abdominale sous-ombilicale, la muqueuse vésicale se continu avec la peau, les urines se drainent dans le LA.
- Extrophie cloacale dans le syndrome OEIS (omphalocèle, extrophie vésicale, imperforation anale, spina bifida).
- Maladie des bandes amniotiques pouvant être responsable d’anomalies de la paroi antérieure.

Si oligo-amnios, rechercher une agénésie ou une dysplasie multikystique bilatérale ou si elle est unilatérale, une uropathie sévère controlatérale, une polykystose de type infantile.

Anomalie de l’ouraque :

Les anomalies de fermeture du canal de l’ouraque peuvent se traduire par une image de type kystique médiane sus-vésicale.

- Soit kyste de l’ouraque se prolongeant parfois dans le cordon
- Soit diverticule de l’ouraque qu communique avec la vessie

En cas de fistule, la vessie n’est jamais bien remplie.

5 - Pathologie de l'appareil génital

 

Sommaire

Chez le fœtus masculin :

Les testicules atteignent les bourses entre 28 et 34 SA.

- Migration retardée
- Migration incomplète : Cryptorchidie

*Aspect US : Bourses vides et plus petites
*Pathologie isolée ou s’intégrant dans un syndrome polymalformatif ou une anomalie de l’appareil urinaire (syndrome de Prune Belly)

- Hydrocèle : volontiers bilatéral, en rapport avec une non fermeture du canal péritonéo-vaginal, spontanément résolutive. Augmentation du volume scrotal, les testicules flottant au sein de l’épanchement.

-Taille de la verge variable :

*Trop petite : suspecter un micro pénis
*Aspect coudé : suspecter un hypospadias

Chez le fœtus féminin :

- Hydrocolpos :

*Soit imperforation vaginale, masse liquidienne médiane rétrovésicale.
* Parfois abouchement anormal d’un uretère fonctionnel

- Utérus didelphe : Aspect bilobé de l’utérus
- Kyste fonctionnel de l’ovaire (anomalie la plus fréquente) :

*Au troisième trimestre, image liquidienne arrondie ou ovalaire, à paroi fine et régulière, de taille variable.
*Risque de torsion : Augmentation de la taille du kyste et modification de son échostructure (contenu hétérogène avec cloisons). Discuter la ponction anténatale.
*Diagnostic différentiel : Duplication digestive, kyste du mésentère, lymphangiome kystique, rein pelvien hydronéphrotique, kyste de l’ouraque, kyste du cholédoque ou hépatique.

6 - Pathologie de la surrenale

 

Sommaire

Hématome de la surrénale :

- Apparition d’une masse sus-rénale, respectant le parenchyme rénal, à échostructure d’abord hétérogène et devenant anéchogène.
- Rechercher une thrombose des veines rénales associée.
Eliminer un neuroblastome associé (masse plus complexe dont l’échostructure reste mixte).

Diagnostic différentiel : masse kystique sus-rénale (dilatation kystique, hydronéphrose d’un pyélon supérieur sur duplication, kyste du cholédoque, hamartome kystique du foie, séquestration sus-diaphragmatique.

Tumeur surrénalienne :

Neuroblastome :

*Soit masse solide
*Soit masse kystique : si nécrose et hémorragie au cours du troisième trimestre.
*Soit masse hétérogène : Discuter un hématome de la surrénale.

Dissémination hépatique dans 20% des cas : syndrome de Pepper
Bon pronostic des formes anténatales dans 90% des cas

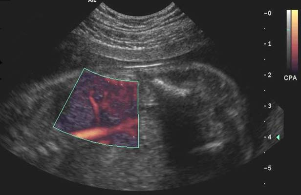
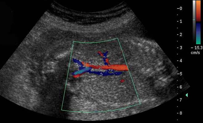
7 - Intérêt du Doppler couleur dans les pathologies de l'appareil urinaire

 

Sommaire

Visualisation de flux :

- vasculaire (angiographie)
- urinaires

Appréciation de la fonction rénale ?

Angiographie rénale :

- Le tronc de l’artère rénale est toujours vu, les segmentaires les sont souvent, les artères interlobulaires et arquées parfois.

 

Page Précédente
Page Suivante
Sommaire