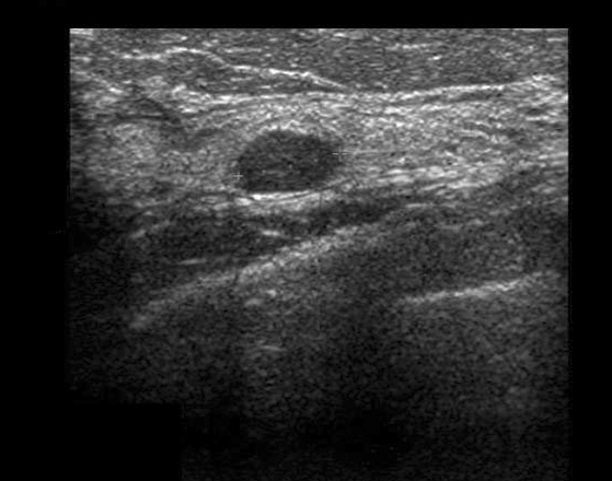
Kyste à contenu épais | Iconographie précédente | Retour cours | Index iconographique | Iconographie suivante |