3  -  Bilan initial

Examens biologiques :

  • La vitesse de sédimentation et la C-Réactive Protéine (CRP) seront analysées systématiquement mais ne sont augmentées qu'inconstamment au début de l'infection. (VS > 15 mm 2/3) ;


Malgré les différents prélèvements, le germe sera difficilement identifié.

Prélèvements réalisés à différents niveaux :


En complément des sérologies, sont pratiquées dans le bilan d'IST : syphilisDéfinitionSyphilis ou vérole : Maladie vénérienne, infectieuse et contagieuse, due au tréponème pâle. Elle se manifeste par un chancre initial et par des atteintes viscérales et nerveuses tardives, certaines manifestations survenant plusieurs années après la contamination. (voir syphilis (dermatologie) et syphilis (gynécologie)) (TPHA, VDRL), Chlamydiae trachomatis (intérêt seulement si > 1/64), HIVDéfinitionHuman Immunodeficiency Virus (virus de l'immunodéficience humaine (VIH)) 1 et 2 (voir VIH et VIH (dermatologie)) en prévenant la patiente, hépatite B et C.


N.B. : En cas d'infection isolée à Chlamydia trachomatis des voies génitales basses (col ou urètre), la sérologie est le plus souvent négative. En cas d'infection génitale profonde, la sérologie est constamment positive en IgG, à condition d'être faite sur deux sérums pris à quelques semaines d'intervalle ; elle est fréquemment positive en IgA, exceptionnellement positive en IgM. Mais la PCR est devenu l'examen de référence.


Bilan chez le(s) partenaire(s) : ECBU, prélèvement urétral à visée bactériologique, sérologies.

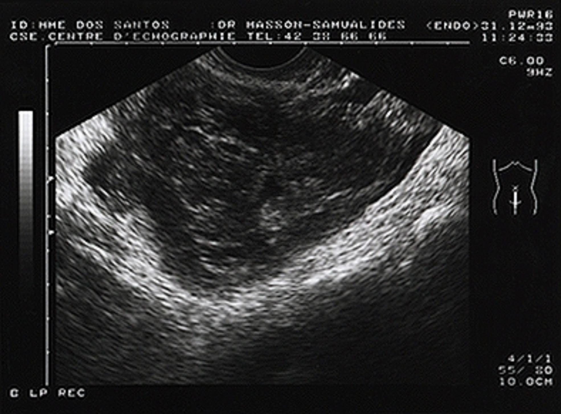
Échographie : Pratiquée au mieux par voie endovaginale, elle recherchera une abcédationDéfinitionÉvolution locale d'une lésion infectieuse aboutissant à la constitution d'un abcès. : pyosalpinxDéfinitionPrésence de pus dans une trompe utérine ou dans les deux. Un pyosalpinx est la conséquence d'une salpingite (inflammation d'une trompe ou des deux, d'origine infectieuse) non diagnostiquée ou traitée trop tardivement. Il se manifeste par des douleurs pelviennes importantes, rendant l'examen gynécologique difficile. Un pyosalpinx entraîne un risque de stérilité par obturation des trompes. Le diagnostic est confirmé soit par échographie pelvienne, soit par cœlioscopie. Le traitement consiste à drainer le pus et à réparer la ou les trompes éventuellement endommagées, voire à les retirer chirurgicalement (salpingectomie). Selon les cas, l'intervention peut faire appel aux techniques de la cœliochirurgie (introduction des instruments chirurgicaux par de petites incisions abdominales) ou nécessiter une laparotomie (ouverture chirurgicale de l'abdomen)., abcès ovarien, abcès du Douglas. En l'absence de collection, l'échographie sera le plus souvent normale.

Aspect échographique d'un pyosalpinx
3/7