8
-
Les examens radiologiques
8
.
1
-
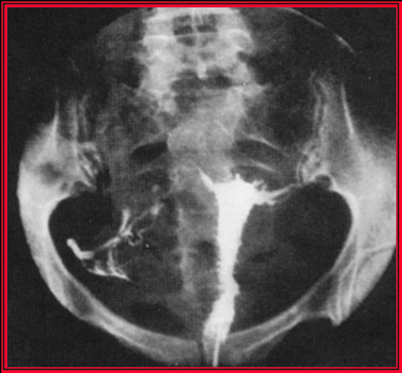
L'hystérosalpingographie
L'hystérosalpingographieDéfinitionExamen de la cavité utérine et des trompes qui ne sont pas visibles sur des radiographies standards. Cet examen est très utile dans les bilans de stérilité, d'infections répétitives, de saignements génitaux, de douleurs… Elle recherche des anomalies telles qu'une tumeur, un fibrome ou un rétrécissement des voies génitales. (HSG) était l'examen fondamental en gynécologie avant l'apparition de l'hystéroscopie, fournissant des renseignements d'importance considérable sur l'endocorps, le corps, les trompes et même pour un œil exercé sur le péritoine péri-tubo-ovarien. Depuis l'apparition de l'endoscopie utérine et de l'échographie, l'HSG a perdu beaucoup de ses indications, mais elle reste néanmoins un examen important, notamment dans les bilans d'infertilité.
8
.
1
.
1
-
Définition
C'est la radiographie des cavités utérines et tubaires rendues opaques par l'injection à l'intérieur de la cavité d'un produit de contraste.
8
.
1
.
2
-
Technique
On utilise comme produit de contraste des substances hydrosolubles à 25 % d'iode type Télébrix R Hystéro. L'emploi du lipiodol est aujourd'hui abandonné.
Il existe deux techniques de préhension du sol, soit l'appareillage traditionnel à l'aide d'une canule de Riazzi-Palmer, soit la ventouse cervicale à embout de Bommelaer, qui est moins douloureuse. Après la saisie du col, il faut enlever le spéculum, pour permettre une bonne vision du col et de l'endocol. Le début de l'examen commence par la prise d'un cliché sans préparation. L'opérateur doit exercer une forte traction sur le col pour redresser l'utérus, on injecte lentement 0,5 ml de liquide de contraste et le premier cliché est pris, c'est le cliché de remplissage précoce qui permet de voir la cavité corporéale. Ensuite, après injection lente de 2 à 3 ml, on réalise le cliché de remplissage complet qui renseigne sur la cavité, l'isthme et le fuseau endocervical, le contrôle téléradioscopique permet de vérifier le début du remplissage tubaire. La troisième étape est le cliché de profil, la patiente est placée en décubitus latéral, jambes repliées l'une sur l'autre, il faut lâcher momentanément la traction sur le col pour permettre à l'utérus de retrouver sa position naturelle. Ce cliché de profil renseigne sur la position de l'utérus, sur l'état de l'isthme et du col et sur la position des trompes. On reprend ensuite la traction sur le col et on injecte 1 à 2 ml pour réaliser le cliché d'évacuation sur lequel outre la cavité, les trompes seront analysées. La dernière étape est le cliché tardif, 15 à 20 minutes après, qui permet d'apprécier la perméabilité tubaire, la sténoseDéfinitionModification anatomique qui se traduit par un rétrécissement d'une structure (canal, vaisseau). ou la perméabilité des pavillons, d'éventuelles adhérences péritonéales, la forme le volume des fossettes ovariennes.
Quelques difficultés techniques peuvent se rencontrer en cas de col déchiré où l'étanchéité est parfois difficile à obtenir. En cas de sténose du col, chez la femme en période d'activité génitale, une simple dilatation à la bougie suffit en général. Chez la femme ménopausée, il est possible de prescrire une œstrogénothérapie par voie générale 4 jours avant l'HSG.
8
.
1
.
3
-
Incidents et accidents de l'hystérosalpingographie
Les classiques complications de l'HSG sont très rares si l'on respecte les contre-indications.
8
.
1
.
3
.
1
-
Les incidents liés à la technique
- L'hémorragie du col est liée à la préhension du col à la pince, c'est pourquoi on utilise plus volontiers la tulipe de Bommelaer,
- Les troubles neuro-végétatifs, à type de lipothymiesDéfinitionLipothymie : Malaise sans perte de connaissance (ou perte de connaissance incomplète), progressif. La lipothymie se caractérise par la survenue brutale d'une sensation d'évanouissement imminent, avec impression d'un « vide », perte d'équilibre, bouffées de chaleur, champ de vision qui se rétrécit, oppression respiratoire, apparition « d'étoiles » devant les yeux, grande faiblesse et angoisse brutale. Il ne faut pas confondre la lipothymie et la syncope qui, quant à elle, correspond à un malaise avec perte de connaissance brutale, brève, spontanément réversible, liée à une diminution brusque du débit sanguin cérébral. La signification pathologique de ces deux événements est cependant la même, et une lipothymie doit être explorée avec autant de soins qu'une syncope vraie. À noter que la lipothymie peut rester isolée ou précéder la perte de connaissance. ou de malaise vagal se rencontrent plus souvent sur les terrains anxieux,
- Les douleurs en cours d'examen sont liées à la dilatation utérine et tubaire. À distance il faut se méfier d'un processus infectieux,
- La perforation utérine est très rare.
8
.
1
.
3
.
2
-
L'extravasation du produit de contraste
Elle se traduit par l'apparition d'une image arborescente péri-utérine. Elle est liée à une effraction muqueuse interstitielle, lymphatique ou vasculaire. Elle est due à une trop forte pression d'injection ou à une atrophie muqueuse.
8
.
1
.
3
.
3
-
Les accidents liés au produit de contraste
En France seuls les produits hydrosolubles à 25 % d'iode sont utilisés. Les produits iodés sont tous potentiellement allergisants. On observe 0,5 % d'effets secondaires.
8
.
1
.
3
.
4
-
Les accidents infectieux
La physiopathologie des accidents infectieux fait appel à deux mécanismes :
Certaines règles simples diminuent ce risque. Si les images de l'HSG évoquent des lésions infectieuses, une antibiothérapie et du repos seront prescrits. Après une endométrite, il faut se donner au moins 2 mois de délai, et après une salpingite au moins 3 mois avant de faire une HSG.
8
.
1
.
4
-
Résultats
8
.
1
.
4
.
1
-
Le col utérin
L'orifice externe est mal visible en HSG, on peut le situer par rapport à la canule d'injection. Si le produit a diffusé un peu dans le vagin, on voit mieux le col.
8
.
1
.
4
.
2
-
Le canal cervical
Il est fusiforme, en barillet ou parfois cylindrique, il mesure 3 à 4 cm de longueur et 1 à 2 cm de largeur. Ses contours habituellement lisses présentent parfois un aspect dentelé, correspondant aux cryptes de l'endocol.
8
.
1
.
4
.
3
-
L'isthme
Mal individualisé, il correspond au segment de transition entre le col et le corps. Il est parfois marqué radiologiquement par une légère striction. Sa largeur est de 0,5 cm en moyenne, mais subit des variations physiologiques puisqu'il s'élargit en phase prémenstruelle (on parle de « béance de l'isthme » lorsqu'elle dépasse 11 mm). À l'inverse du canal cervical, les images d'addition sont pathologiques et traduisent l'existence d'une endométriose.
8
.
1
.
4
.
4
-
La cavité utérine
De face en réplétion complète et après traction sur le col, de manière à placer la cavité utérine dans le prolongement du col, elle à la forme d'un triangle isocèle à base supérieure. Sa capacité oscille entre 3 et 10 ml environ. La longueur du fond et des bords est en moyenne de 3 à 4 cm. Le fond et les bords utérins sont rectilignes. Dans certains cas, il est possible au cours du cliché de remplissage de mettre en évidence, dans la région sus-isthmique, des images linéaires parallèles aux bords qui correspondent à des plis muqueux. De profil, la cavité utérine est fusiformeDéfinitionQui a la forme d'un fuseau, c'est-à-dire qui a ses deux extrémités se terminant en pointe.. Lorsque l'utérus est antéversé, elle forme avec le canal cervical un angle de 120° environ. Lorsque l'utérus est en position intermédiaire, le fond utérin se projette en direction de l'ombilic. En cas de rétroversion utérine, il se projette en regard du promontoire (rétroversion du premier degré), de la première pièce sacrée (deuxième degré) ou de l'articulation sacro-iliaque (troisième degré).
8
.
1
.
4
.
5
-
Les trompes
Elles comportent 4 segments :
- La portion intra-murale traverse le myomètre et mesure 1 à 2 cm environ de longueur sur 0,4 de largeur. Son origine est souvent marquée par un renflement triangulaire,
- L'isthme mesure 3 à 4 cm de longueur. Il est fin, souvent sinueux et parfois mal visible, du fait des superpositions d'images. Son calibre réduit s'explique par l'épaisseur de sa paroi qui empêche son expansion,
- L'ampoule mesure 6 à 8 cm de longueur sur 0,5 à 1 cm de largeur. Son calibre s'élargit insensiblement et sa limite radiographique avec l'isthme est très nette,
- Le pavillon et l'ostium tubaire sont difficilement visibles lorsque le produit hydrosoluble diffuse largement le long des franges du pavillon. En cas de rétrécissement lié à un phimosis tubaireDéfinitionRétrécissement d'une ou des deux trompes utérines, aboutissant à une obturation tubaire partielle ou totale. Un phimosis tubaire est souvent consécutif à une salpingite (infection d'une ou des 2 trompes) non traitée. Les franges du pavillon de la trompe s'agglutinent, se resserrent et se collent les unes aux autres, sans que la patiente ressente généralement aucun symptôme. Le phimosis est ainsi le plus souvent découvert à l'occasion d'un bilan de stérilité (hystérographie et/ou cœlioscopie). Le traitement, chirurgical, cherche à rétablir la perméabilité de la trompe et la fertilité de la femme : décollement des parois de la trompe et éversion des franges du pavillon. Cette intervention est généralement pratiquée par cœliochirurgie (introduction d'une optique et des instruments chirurgicaux par de petites incisions abdominales)., cette région devient particulièrement nette.
La position de la trompe est très variable et varie suivant la parité et l'âge. L'existence de plis muqueux, parallèles à l'axe de l'ampoule traduit un aspect normal.
Après diffusion le long des franges du pavillon, le produit cerne assez fréquemment la surface externe des ovaires, réalisant l'image des fossettes ovariennesDéfinitionFossette ovarienne : Zone située latéralement dans le pelvis, limitée en avant par l'artère ombilicale, en arrière par l'uretère et l'artère iliaque interne et en haut par la veine iliaque externe.. On peut ainsi indirectement apprécier le volume des ovaires (normalement 3,5 cm de long sur 2 cm de large).
8
.
1
.
4
.
6
-
Le passage péritonéal
Affirmé parfois dès les premiers clichés, il s'apprécie en fait sur le cliché tardif. Il se traduit par un aspect marécageux occupant le petit bassinDéfinitionPetit bassin ou pelvis minor : Cadre osseux, sensiblement hémisphérique, de la forme et de la taille d'un petit bol, situé à la base du bassin, sous la cavité abdominale. et qui est obtenu par le brassage du produit provoqué par la mobilité des anses intestinales.
8
.
1
.
5
-
Les contre-indications
8
.
1
.
6
-
Les indications
8
.
2
-
Le scanner pelvien
Le scanner n'a pas révolutionné l'imagerie en gynécologie comme dans d'autres spécialités. Autrefois intéressant dans le bilan des masses pelviennes et dans l'évaluation de l'envahissement ganglionnaire iliaque, le scanner est désormais supplanté dans ces deux indications par l'IRM.
8
.
3
-
L'imagerie par résonance magnétique nucléaire
Seule la faible disponibilité des appareils d'IRM limite l'utilisation de ce procédé en gynécologie. En effet l'IRM offre une qualité d'imagerie particulièrement intéressante dans bien des pathologies gynécologique.
L'IRM est devenue irremplaçable en cancérologie gynécologique, notamment dans les bilans pré-thérapeutiques des cancers du col utérin et de l'endomètre. Moins performante dans les cancers ovariens, elle est néanmoins l'examen le moins décevant avec l'échographie. L'IRM est également un excellent moyen d'évaluation des pathologies bénignes du myomètre (fibromesDéfinitionFibrome utérin ou fibromyome utérin : Tumeur bénigne, développée à partir du muscle de l'utérus. Les fibromes sont constitués de fibres musculaires lisses qui s'enroulent sur elles-mêmes et sont séparées par du tissu conjonctif fibreux. Il serait donc plus juste de parler de « fibromyome » pour rendre compte des deux composantes, mais le terme de fibrome est largement passé dans le langage courant. (voir fibrome), adénomyoseDéfinitionAdénomyose ou endométriose interne : Affection gynécologique caractérisée par le développement d'une muqueuse endométriale normale (composée de glandes endométriales et d'un stroma cytogène) dans le myomètre (paroi musculaire de l'utérus). (voir adénomyose)). L'IRM est également dotée d'une bonne spécificité pour évaluer les lésions endométriosiques. Plus récemment, des indications dans l'évaluation des prolapsus ont été également été proposées.
8
.
4
-
L'échographie
8
.
4
.
1
-
Technique
L'échotomographieDéfinitionEnregistrement et analyse des échos de différents milieux et structures organiques, causés par l'application des ultrasons. Cette technique est notamment employée pour surveiller la grossesse. a, en gynécologie, un intérêt plus limité qu'en obstétrique, cependant dans de nombreuses situations elle est indiquée. L'échographie par voie vaginale a constitué un progrès incontestable, il reste cependant licite dans certaines situations de compléter l'examen par voie vaginale par l'échographie par voie sus-pubienne.
8
.
4
.
2
-
Indications
8
.
4
.
2
.
1
-
Pathologie ovarienne
L'échographie permet surtout de bien visualiser les ovaires qui, par leur situation profonde sont difficiles à explorer cliniquement. Toute la pathologie ovarienne sera donc une indication potentielle à l'échographie. On peut utiliser l'échographie dans le bilan d'une tumeur pelvienne afin de reconnaître la nature de la masse : liquidienne, on évoquera un kyste ovarienDéfinitionPetite poche remplie de liquide développée aux dépens d'un ovaire. Il s'agit d'une affection extrêmement fréquente, découverte la plupart du temps de manière fortuite au cours d'un examen d'imagerie (échographie par exemple). Ces kystes sont bénins dans la grande majorité des cas, et ont des causes variées. (voir kyste ovarien) ; solide, on évoquera une tumeur ovarienne (parfois maligne) ou un fibromyome utérin.
L'échographie reste indispensable lors d'une stimulation ovarienne et, en cas de FIVETE, pour la surveillance de la croissance folliculaire et la ponction des follicules mûrs : on utilise alors une sonde vaginale.
8
.
4
.
2
.
2
-
Pathologie utérine
L'utérus est également bien vu en échographie, l'endomètre se distinguant nettement du myomètre.
L'échographie est le premier examen à proposer dans l'évaluation des malformations de l'appareil génital féminin :
- Pathologies du myomètre.
- L'échographie est l'examen de référence dans le diagnostic des fibromes dont elle permet d'établir une cartographie précise,
- L'échographie est moins performante pour le diagnostic d'adénomyose.
- Pathologies de l'endomètre.
-
PolypesDéfinitionPolype : Adénome, ou tumeur bénigne, se développant sur les muqueuses. Les polypes se retrouvent plus fréquemment sur les muqueuses du côlon, du rectum ou de l'utérus. Certains sont plats : ce sont des polypes sessiles ; d'autres possèdent un pied plus ou moins long : ce sont des polypes pédiculés. La présence de nombreux polypes sur une même muqueuse est appelée polypose., myomesDéfinitionMyome : Tumeur bénigne formée de tissu musculaire. C'est une des pathologies dites hormono-sensibles. « Myome utérin » est le nom donné à la maladie bénigne et fréquente, qui se caractérise par la formation de myomes dans le muscle utérin. sous-muqueux, hyperplasieDéfinitionProlifération anormale des cellules normales composant un tissu ou un organe. L'hyperplasie caractérise également le développement démesuré d'un tissu ou d'un organe. L'hyperplasie peut être due à une irritation ou bien être secondaire à un processus de compensation. Autrement dit l'hyperplasie est la formation d'un tissu anormale (pathologique) aux dépens d'un tissu sain. Les tissus néoformés (récemment fabriqués) sont totalement semblables dans leur forme et dans leurs fonctions aux tissus qui sont générés. et atrophie peuvent être reconnus en échographie,
- L'injection d'un liquide dans la cavité utérine constitue l'hystérosonographieDéfinitionExamen d'échographie permettant l'étude des parois de l'utérus, de la cavité de l'utérus, et de la partie proximale des trompes utérines. Il consiste à introduire, dans le col de l'utérus, un cathéter, servant à injecter du sérum physiologique, et à pratiquer l'échographie pendant l'injection du sérum physiologique. Cet examen, actuellement très utilisé en gynécologie, a remplacé l'hystérographie dans beaucoup de ses indications. C'est un examen indolore, sans risque allergique, mais qui reste contre-indiqué en cas de grossesse. et améliore les performances de l'échographie dans l'évaluation des pathologies intra-cavitaires.
8
.
4
.
3
-
Utilisation du doppler à codage couleur
C'est un complément parfois utile de l'examen échographique. Le dopplerDéfinitionExamen échographique en deux dimensions non-invasif qui permet d'explorer les flux sanguins intracardiaques et intravasculaires. Elle est basée sur un phénomène physique des ultrasons, l'effet Doppler. (voir doppler) a démontré par exemple un intérêt dans l'évaluation de la nature bénigne ou maligne d'une masse ovarienne.
8/13