8  -  Examens paracliniques

8 . 1  -  Électrocardiogramme

- Modifications ECG fréquentes et variables.
- Bloc de branche gauche fréquent dans les cardiopathies évoluées.
- Recherche de signes d’hypertrophie ventriculaire gauche.
- Oriente parfois le diagnostic étiologique : séquelle d’infarctus par exemple.
- Permet de détecter un trouble du rythme ou de la conduction.
- ECG normal rendant peu probable le diagnostic d’insuffisance cardiaque avec dysfonction systolique du ventricule gauche.

8 . 2  -  Radiographie du thorax

- Recherche d’une cardiomégalie (index cardiothoracique > 0,5) qui si elle est absente n’élimine pas le diagnostic.
- Recherche des signes radiologiques de stase pulmonaire (cf. encadré des stades de gravité des signes de stase pulmonaire ci-après).
- Parfois épanchement pleural.

Stades de gravité des signes de stase pulmonaire
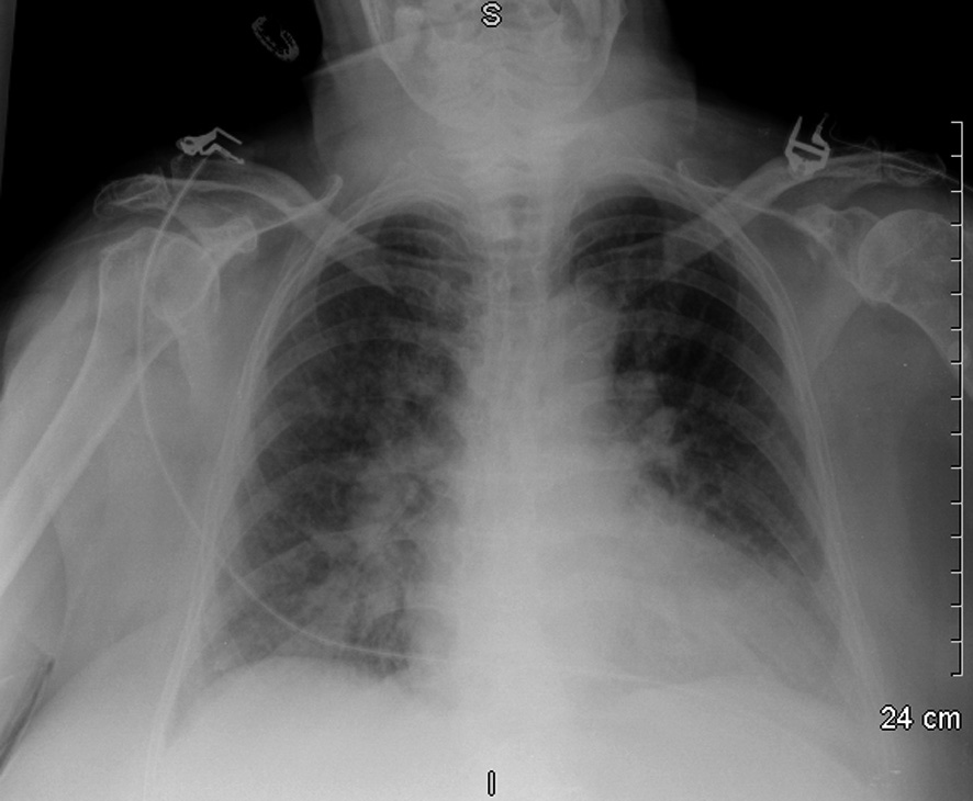
Figure 19 : Radiographie du thorax d’une patiente de 77 ans présentant un œdème aigu du poumon dans les suites d’un infarctus du myocarde de topographie antérieure (traité par angioplastie avec pose d’endoprothèse au niveau du segment proximal de l’artère interventriculaire antérieure)
Noter les opacités alvéolo-interstitielles bilatérales et symétriques prédominant au niveau des hiles pulmonaires dites « opacités en ailes de papillon ».

8 . 3  -  Examens biologiques

- Décompensation cardiaque pouvant s’accompagner d’une élévation modérée de la troponine.
- Anomalies du bilan hépatique (cytolyse, cholestase) en cas de foie cardiaque avec parfois troubles de l’hémostase (TP spontanément bas) par insuffisance hépatocellulaire au stade terminal.
- Rechercher une anémie qui est un facteur favorisant de décompensation cardiaque.
- Rechercher une anomalie de la natrémie et/ou de la kaliémie souvent dues au traitement.
- Rechercher une insuffisance rénale associée favorisée par le bas débit rénal et le traitement.
- Intérêt diagnostique du BNP (peptide natriurétique de type B) et du NT-proBNP (précurseur du BNP) :

  • un taux normal chez un patient non traité rend le diagnostic d’insuffisance cardiaque peu probable. Savoir que les taux peuvent être élevés en cas d’insuffisance rénale même en l’absence d’insuffisance cardiaque ;
  • un dosage de BNP < 100 pg/mL permet d’éliminer le diagnostic d’insuffisance cardiaque chez un patient non traité avec une fiabilité satisfaisante, tandis qu’un dosage > 400 pg/mL affirme le diagnostic d’insuffisance cardiaque si le tableau clinique est compatible ;
  • un NT-proBNP < 300 pg/mL permet d’exclure le diagnostic d’insuffisance cardiaque avec une forte valeur prédictive négative chez un patient non traité présentant une dyspnée aiguë mais les seuils en faveur du diagnostic d’insuffisance cardiaque différent en fonction de l’âge.

- Intérêt pronostique du BNP et NT-proBNP.

8 . 4  -  Échocardiographie-doppler

Examen clé +++ permettant le diagnostic positif, très souvent le diagnostic étiologique, intérêt pronostique.
Cet examen permet le diagnostic positif en détectant une dysfonction systolique (abaissement de la fraction d’éjection du ventricule gauche) et/ou une dysfonction diastolique (élévation des pressions de remplissage ventriculaire gauche).
Il permet de mesurer la fraction d’éjection du ventricule gauche et donc de distinguer l’insuffisance cardiaque associée à une dysfonction systolique du ventricule gauche de l’insuffisance cardiaque à fonction systolique préservée (FEVG > ou = à 45–50 % et élévations des pressions de remplissage ventriculaire gauche).

Mesure :
- des diamètres et du volumes ventriculaires gauche ;
- du débit cardiaque.

Étude :
- valvulaire : structure en mode bidimensionnel, valvulopathies régurgitantes en mode doppler couleur, valvulopathies régurgitantes et sténosantes en mode doppler pulsé et/ou continu ;
- des cavités droites, estimation des pressions pulmonaires ;
- du péricarde.

8 . 5  -  Cathétérisme cardiaque droit et gauche, ventriculographie gauche et coronarographie

1. Cathétérisme cardiaque droit

Examen invasif, ponction veineuse.
Il permet la mesure :
- des pressions veineuse centrale, ventriculaire droite, pulmonaires (pression artérielle pulmonaire systolique, diastolique et moyenne) ;
- de la pression capillaire pulmonaire ;
- du débit cardiaque et des résistances artériolaires pulmonaires.

Le cathétérisme cardiaque droit n’est pas systématique et est de moins en moins fréquemment réalisé. Il est indiqué dans quelques situations comme le diagnostic d’hypertension pulmonaire précapillaire, une suspicion de péricardite constrictive, et très rarement lors de valvulopathie en cas de doute diagnostique si l’échographie n’est pas contributive.

2. Cathétérisme gauche couplé à l’angiographie ventriculaire gauche (ou ventriculographie)


Examen invasif, ponction artérielle.
Il permet de :
- étudier les pressions systémiques et ventriculaires gauche (cathétérisme) ;
- mesurer la fraction d’éjection du VG et étudier la fonction systolique segmentaire du VG (ventriculographie).

3. Quelques chiffres à retenir

L’index cardiaque est abaissé s’il est < 2,5 L/min/m2.
Une pression artérielle pulmonaire moyenne au repos > ou = à 25 mmHg signe le diagnostic d’hypertension pulmonaire.
En cas de pression pulmonaire élevée, une pression capillaire pulmonaire > 15 mmHg signe une hypertension pulmonaire postcapillaire si les résistances pulmonaires sont normales ; si celles-ci sont élevées, il s’agit d’une hypertension pulmonaire mixte (pré- et post-capillaire).
En cas de pression pulmonaire élevée, une pression capillaire pulmonaire < 15 mmHg signe une hypertension pulmonaire précapillaire.

4. Coronarographie


Elle permet d’étudier le réseau coronaire.
Elle n’est réalisée qu’en cas de suspicion de cardiopathie ischémique.

8 . 6  -  IRM cardiaque

- Intérêt en cas d’échocardiographie non contributive (patients peu échogènes).
- Mesures des volumes ventriculaires gauches, de la FEVG, de la masse du VG.
- Étude de la fonction systolique segmentaire, de la perfusion, du rehaussement tardif.
- Parfois aide au diagnostic étiologique : cardiopathies congénitales, tumeurs, myocardite, dysplasie arythmogène du ventricule droit, séquelle d’infarctus…

8 . 7  -  Évaluation à l’effort

En pratique clinique, l’évaluation à l’effort présente une valeur diagnostique limitée. Cependant, des capacités à l’effort normales chez un patient non traité rendent le diagnostic d’insuffisance cardiaque peu probable.
L’intérêt de l’évaluation à l’effort est en fait surtout pronostique +++.
L’épreuve d’effort métabolique est un test d’effort couplé à la mesure des échanges gazeux avec notamment la mesure du pic de consommation d’oxygène (pic de VO2). Un pic de VO2 bas (pour mémoire < 10 mL/kg/min) est de mauvais pronostic, tandis qu’un pic de VO2 plus élevé (pour mémoire > 18 mL/kg/min) identifie les patients à plus faible risque de mortalité.
Le test de marche de 6 minutes consiste à mesurer la distance parcourue par le patient durant 6 minutes. Une faible distance parcourue est associée à un mauvais pronostic.

8/9