- Pré-requis et Objectifs
-
Cours
-
Contenu
- 1 - Anatomie du coeur
- 2 - Physiologie cardiovasculaire
- Version Enseignants
-
Version PDF
-
Contenu
- Annexes
- Votre Avis
- Ressources Enseignants


Ce chapitre a pour but de remettre en place, sous forme simple, les connaissances fondamentales à avoir acquis avant l’apprentissage de la sémiologie cardio-vasculaire.
Il doit être complété par vos enseignements précédents, chaque fois qu’un point particulier vous posera question.
D’autres rappels, plus approfondis, seront faits lorsque la pathologie sera abordée.
Le cœur, enveloppé du péricarde, est situé dans le médiastin antérieur. Il est situé entre les deux poumons, sur la coupole diaphragmatique gauche, en arrière du sternum et du grill costal antérieur et en avant du médiastin postérieur, notamment de l’œsophage.
Le cœur est un muscle, brun rouge, qui pèse environ 250 g chez l’adulte :
Il a la forme d’une pyramide triangulaire dont le sommet est en bas, à gauche et en avant ; la base regarde en haut, en arrière et à droite ; son grand axe est oblique en bas, en avant et à gauche.
Les trois faces sont antérieure, inférieure et latérale gauche.
Elles sont parcourues par deux sillons profonds :
Les sillons contiennent de la graisse et les branches principales des vaisseaux coronaires.
Le cœur (figure 1) est un organe creux formé du cœur droit et du cœur gauche qui sont entièrement séparés. Les oreillettes sont séparées par une cloison appelée septum inter-auriculaire et les ventricules par le septum interventriculaire.
Le cœur droit est formé de l’oreillette (OD) et du ventricule droits (VD) qui communiquent entre eux par l’orifice tricuspidien (TRI).
Le cœur gauche est formé de l’oreillette (OG) et du ventricule gauches (VG) qui communiquent entre eux par l’orifice mitral (MI).
Les orifices artériels, pulmonaire et aortique (figure 2), sont formés chacun d’un anneau fibreux et de 3 valvules dites sigmoïdes.
Il existe 2 appareils valvulaires auriculo-ventriculaires (figure 3) formés d’un anneau fibreux et d’un système valvulaire constitué de valvules, de cordages et de piliers. L’orifice tricuspidien a 3 valvules (Antérieure = A, Septale =S, Postérieure =P), le mitral n’en a que 2, (grande et petite valves) chacune étant divisée en 3 segments (A1,A2,A3 et P1,P2,P3).
Les abouchements veineux (VCI,VCS,VP) n’ont pas de système valvulaire.
Elles sont formées de l’intérieur vers l’extérieur par l’endocarde (structure fine recouvrant en outre les valvules cardiaques), le myocarde (ou muscle cardiaque) et l’épicarde.
La paroi des ventricules est plus épaisse que celle des oreillettes car le myocarde y est plus important notamment au niveau du ventricule gauche.
A la jonction oreillettes-ventricules, les fibres myocardiques auriculaires et ventriculaires se fixent sans se toucher au niveau d’une structure fibreuse appelée squelette du cœur (cette structure réunit les orifices valvulaires qui la traversent). De ce fait, il n’y a pas de connexion myocardique entre oreillettes et ventricules (isolation électrique).
Ce tissu spécifique intrapariétal donne naissance aux impulsions électriques puis les conduit à grande vitesse vers les cellules myocardiques, engendrant ainsi les contractions cardiaques.
Il est formé (figure 4) du nœud sinusal (1) siégeant dans la paroi de l’oreillette droite près de l’abouchement de la veine cave supérieure, puis de fibres assez mal définies (---) à l’intérieur des oreillettes (2), du nœud auriculo-ventriculaire (3) qui siège juste au niveau de la jonction de l’oreillette droite avec le ventricule droit. De ce nœud, naît le tronc du faisceau de His (4) qui se divise ensuite en deux branches, droite (d) et gauche (g), puis se distribue grâce au réseau de Purkinje (6) jusqu’au contact des cellules myocardiques.
La circulation coronaire est la circulation artérielle et veineuse systémique propre au cœur.
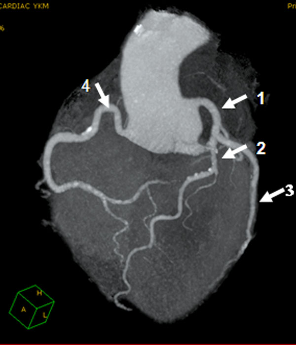
Les artères coronaires ou « coronaires » sont au nombre de deux (figure 5), la gauche et la droite. Elles naissent de l’aorte thoracique ascendante, quelques centimètres au-dessus de l’anneau aortique. Dans la distribution la plus habituelle on observe les données suivantes :
La dominance coronaire, correspondant au territoire vasculaire myocardique le plus développé, peut être gauche (la plus habituelle, décrite ci dessus) ou droite et varier d’un sujet à l’autre.
La distribution du sang au myocarde, par les branches de ramification des artères coronaires est dite de type terminal. Ceci signifie que chaque branche artérielle vascularise de manière très prédominante son propre territoire, les collatérales qui existent entre les branches artérielles n’étant habituellement pas assez développées pour assurer une éventuelle circulation de suppléance.
Les veines coronaires : une grande partie du sang myocardique efférent se collecte à la face postérieure du cœur, dans un gros tronc appelé sinus coronaire qui se jette dans l’oreillette droite.
Le péricarde est un double sac séreux et fibreux qui entoure le cœur. Le péricarde séreux est formé lui-même de deux feuillets en continuité l’un avec l’autre, le péricarde viscéral et le péricarde pariétal. Entre ces deux feuillets se trouve la cavité péricardique, normalement virtuelle car ne contenant que quelques ml de liquide péricardique.