Sommaire :

Introduction

1 - Rachis Foetal Normal
2 - Diagnostic échographique des dysraphies spinales
3 - Diagnostic d'une myelo-méningocèle lombo-sacrée
4 - Signes indirects intracrâniens des spina ouverts
5 - L’échographiste va devoir répondre à plusieurs questions pour évaluer le pronostic
6 - Les autres dysraphismes spinaux
7 - Anomalies vertébrales sans dysraphie
8 - Tératome sacrococcygien
9 - Kystes dermiques et épidermiques. Sinus dermiques
10 - Conclusion

 


 

Introduction

Une des difficultés du diagnostic prénatal car tributaire de la position et de la présentation foetale (comme le coeur). Sensibilité du diagnostic de spina bifida : 95%.

La recherche de signes indirects céphaliques et l’utilisation de la voie vaginale permettent d’améliorer les résultats de l’échographie.

 

1 - Rachis Foetal Normal

Visible dès 9 SA, accessible correctement, mais non finement lors de l’échographie de 12-13 SA, c’est surtout à 22 SA qu’il est étudié.

En fin de grossesse, l’examen est généralement plus facile.

Chaque vertèbre présente 3 zones échogènes correspondant aux 3 centres d’ossification primitifs :

- Corps vertébral,
- Deux lames latérales (lames postérieures) obliques de dehors en dedans et en arrière.

Un rachis normal est affirmé par des coupes sagittales, transversales et frontales du rachis, par l’étude de la peau et des parties molles en regard des vertèbres, par l’étude de l’encéphale et de la voûte crânienne.

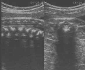
Coupes sagittales : parcourant tout le rachis (cliché gauche).

Coupes transversales : vertèbre par vertèbre (cliché droit).

- Sur une coupe sagittale stricte : corps vertébraux, canal rachidien (deux fines lignes parallèles) suivi jusqu’au cône terminal (effilé) et intégrité du revêtement cutané.

- Sur une coupe para-sagittale : corps vertébraux et lames latérales.

de dedans en dehors, corps vertébraux, canal rachidien, lames latérales, revêtement cutané.

Coupes frontales : Deux lignes parallèles discontinues régulièrement, correspondant aux lames latérales, au milieu le canal rachidien.

Existence d’un renflement lombaire précédent l’effilement terminal sacré.

La crête iliaque proximale fait un cône d’ombre sous-jacent rendant difficile l’étude de la jonction lombo-sacrée.

Difficultés rencontrées :

A côté des difficultés habituelles de l’échographie :

- Dysraphie plane,
- Une seule vertèbre atteinte,
- Spina sacré,
- Présentation du siège,
- Décubitus foetal,
- Dos plaqué contre l’utérus ou le placenta,
- Oligoanamnios,
- Cône d’ombre iliaque,
- Ossification vertébrale postérieure plus précoce au niveau cervical qu’au niveau lombaire,
- Au niveau du sacrum fausse impression de pergence des lames postérieures.

Ne pas oublier qu’un pôle céphalique anormal au niveau fosse postérieure, ventricules latéraux, voûte crânien, céphalométrie permet souvent de rectifier un diagnostic "oublié", mais qu’il peut être normal dans les localisations sacrées.

 

2 - Diagnostic échographique des dysraphies spinales

Absence de fusion des apophyses vertébrales postérieures sur la ligne médiane qui intervient avant 6 SA.

Autre dénomination : Spina bifida.

On distingue deux groupes :

- Les variétés ouvertes (spina bifida aperta ) , plus de 90% des cas, où 2 types anatomiques peuvent être décrits :

¤ Méningocèle (1/4 des cas), hernie méningée ne contenant que du LCS :

- La moelle et les racines normales sont en place,
- Une peau normale ou subnormale recouvre la méningocèle ( qui est donc fermée),
- Peu de malformations cérébrales associées, et souvent bon pronostic neurologique.

¤ Myélo-méningocèle (3/4 des cas), hernie méningée contenant du LCS , de la moelle et des racines anormales, pouvant s'étendre dans la paroi méningée :

- Rarement épithélialisation (malformation ouverte),
- Malformations cérébrales à type d'hydrocéphalie secondaires à la malformation d'Arnold - Chiari (Ectopie des amygdales cérébelleuses dans le rachis cervical),
- Pronostic neurologique mauvais,
- La hernie méningée peut être complètement remplie par la moelle épinière, donnant un spina plan (myélocèle).

- Les variétés fermées ( spina bifida occulta ), échappent en général au diagnostic échographique (angiome, anomalies cutanées, sinus dermique en regard du rachis) à l'exception du lipome intra rachidien et de la diastomatomyélie.

Le lipome peut également entrer dans le cadre d'un spina bifida ouvert sous la forme d'une lipomyéloméningocèle.

Fréquence : 0,5% en France. Augmentation de fréquence en Bretagne et dans les pays anglo-saxons et chez les patientes épileptiques traitées par Depakine.

 

3 - Diagnostic d'une myelo-méningocèle lombo-sacrée

Prise pour description en raison de sa fréquence.

1. SIGNES DIRECTS :

- Coupe sagittale :

Solution de continuité ou tuméfaction du revêtement cutané et des parties molles :

Hernie méningée remplie de LCS , faisant saillie en arrière du rachis, anéchogène, généralement à paroi fine parcourue par des travées neurologiques, échogènes, distribuées de façon linéaire ou anarchique avec placode neurale possible sur la paroi herniaire (cliché 4).

Canal rachidien se jetant dans la hernie à large canal.

Lames latérales irrégulièrement disposées sur une coupe parasagittale.

Angulation rachidienne anormale dans les larges spinas.

- Coupes transversales :

Ouverture des lames postérieures +/- marquées : Aspects classiquement décrits en U, en V ou en cupule (spina plan) selon le redressement ou la pergence des lames postérieures.

cliché gauche

Visibilité des cloisons dans la hernie méningée confirmant le diagnostic de myélo-méningocèle.

- Coupes frontales :

Ecartement des lames postérieures responsables de la perte de parallélisme du "rail spinal".

cliché droit

cliché gauche

Affleurement et renflement anormal du canal rachidien qui perd son caractère linéaire (collet herniaire).

En dehors du rachis, tuméfaction (hernie) mobile avec le foetus.

cliché droit

2. SIGNES INDIRECTS :

- Pôle céphalique particulier traduction d'un syndrome d'Arnold Chiari :

Secondaire à un défect du tube neural avec fuite de LCS responsable notamment d'un défaut de distension de la vésicule rhombencéphalique perturbant l'induction du mésenchyme avoisinant et du chondrocrane avec petite fosse postérieure.

Le tronc et le cervelet se développent dans cette petite fosse induisant une hernie au travers des foramens magnum et ovale.

- Modifications sous tentorielles :

- Grande citerne inexistante,
- Vermis inférieur ectopique,
- Hémisphères cérébelleux attirés vers le bas formant une incurvation à concavité antérieure se moulant sur le tronc cérébral.

cliché droit

- V4 aplati, étiré,
- Horizontalisation de la tente du cervelet sur une coupe frontale postérieure céphalo-caudale.

- Modifications sus tentorielles :

- Feston frontal : Applatissement et rétrécissement bitemporal,
- Hydrocéphalie,

- Agénésie partielle du corps calleux fréquente,
- Troubles de la migration.

- Céphalométrie faible :

Fréquemment inférieure au 50ème percentile.

- Anomalie de position des membres inférieurs et malposition des pieds :

La mobilité n'est pas obligatoirement perturbée.

 

4 - Signes indirects intracrâniens des spina ouverts

CHITTY, LUCK et SHIRLEY :

Aucun diagnostic manqué sur une population à bas risque. Optimisme ?

BENACERRAF 89 :

Petite fosse : 100%.

VAN DEN HOF 90 :

Evolution des signes au cours de la grossesse : Feston frontal présent dans 98% avant 24 SA, 13% après. Signes cérebelleux présents à tous les âges. Hémisphères cérebelleux à concavité antérieure plus fréquent avant 24 SA, petit cervelet ensuite.

CAMPBELL 87 :

DBP < 5è perc : 65%.

DE COURCY 94 :

Cervelet normal : 7%. Absent : 28%. Concavité antérieure : 65%. Diamètre transversal du cervelet faible : 73%. Feston frontal : 96%. Ventriculomégalie : 69%.

5 - L’échographiste va devoir répondre à plusieurs questions pour évaluer le pronostic

1. Siège de la lésion :

- Nombre de vertèbres ouvertes,
- Hauteur de la 1ère vertèbre ouverte :

¤ L'appréciation de celle-ci est plus facile en coupe transversale si le foetus est en procubitus, le dénombrement des vertèbres pouvant se faire à partir de la dernière thoracique (repérée par les côtes).

¤ Sur une coupe longitudinale, attention car le dome supérieur de la myéloméningocèle n'est pas obligatoirement en regard de l'ouverture vertébrale qui peut être plus basse.

2. Contenu :

Le diagnostic de myéloméningocèle est porté par la présence au sein de la hernie méningée de travées échogènes neurologiques.

3. Existe-t-il un retentissement ?

- Céphalique : Une ventriculomégalie avec céphalométrie faible est de mauvais pronostic,
- Malposition des pieds,
- Vidange vésicale,
- Mobilité des membres inférieurs.

4. Existe-t'il des lésions associées ?

- 30% des cas,
- Associations syndromiques avec cardiopathie, omphalocèle...,
- Anomalies chromosomiques : Trisomie 13, 18, triploïdie ?

 

6 - Les autres dysraphismes spinaux

1. Méningocèle :

Même description mais il n'y a pas de travées neurologiques qui parcourent le sac herniaire.

2. Myélocèle :

Diagnostic difficile surtout si foetus en décubitus car il n'y a pas de tuméfaction lombaire.

Insister sur anomalies du revêtement cutané et signes céphaliques.

3. Diastématomyélie :

Fait partie des spina bifida occulta.

Correspond à une pision sagittale, non totale de la moelle, en deux cordons séparés ou non par un septum osseux ou cartilagineux, septum en continuité avec la partie dorsale du corps vertébral et/ou la partie ventrale de l'arc postérieur.

Les deux cordons médullaires se rejoignent pour former le cône terminal en général unique.

Association fréquente avec anomalies du développement des vertèbres : Diminution de leur diamètre antéro-postérieur, hémivertèbre, bloc vertébral.

Revêtement cutané intact. Parfois dysraphie spinale ouverte.

En échographie : Cloison échogène entre les points d'ossification postérieurs de la vertèbre. "Troisième point d'ossification postérieur" avec lames latérales anormalement écartées.

4. Lipome rachidien :

Développement d'une masse lipomateuse sous cutanée (amas échogène, homogène, parfois kystique) occupant la ligne médiane et s'étendant en profondeur vers les vertèbres.

Fréquemment associé à un spina bifida occulta.

Parfois véritable lipomyéloméningocèle .

5. Syndrome de régression caudal :

Malformation congénitale pouvant être associée au diabète maternel.

Atteinte rachidienne pouvant s'étendre des vertèbres thoraciques jusqu'au segment coccygien.

Malformations viscérales variables, la forme la plus complète comportant :

- Atteinte vertébrale : agénésie sacrée ou hypoplasie pouvant remonter jusqu'au niveau lombaire ou thoracique ; hémi-vertèbres ; méningo ou myéloméningocèle.

- Atteinte digestive : agénésie rectale, imperforation anale.

- Atteinte du tubercule génital : agénésie, aplasie vulvaire, états asexués.

- Atteinte des canaux de Wolf et de Muller : absence de bourgeon uretéral, agénésie rénale uni ou bilatérale, agénésie vaginale ou utérine.

- Atteinte de l'allantoïde : agénésie vésicale, artère ombilicale unique naissant directement de l'aorte.

- Atteinte des ébauches des membres inférieurs : abduction et rotation externe des fémurs, luxation de hanche, pieds bots, atrophie.

La sirénomélie, considérée par certains comme la forme sévère du syndrome de régression caudale, car associant le même type de polymalformations, s'en différencie pourtant car il existe une fusion partielle ou totale des membres inférieurs pouvant aller de la présence d'une extrémité rudimentaire (aucune structure osseuse) à la présence de 2 membres inférieurs fusionnés contenus dans un seul fourreau tégumentaire (avec 2 fémurs, 2 tibias, 2 péronés et 2 pieds).

La rotation externe des membres inférieurs et l'absence ou la présence des péronés en dedans des tibias sont caractéristiques.

6. Rachischisis étendu :

L'ouverture peut se situer à tous niveaux de la colonne vertébrale entraînant une angulation anormale du rachis.

Association fréquente à d'autres anomalies malformatives :

- Malformations "schisis type" associant omphalocèle, anomalies perses du tube neural, fente labiale et hernie diaphragmatique (anomalie de développement du mésoderme para-axial),

- Iniencéphalie , associant céphalocèle occipitale avec rachischisis des 1ères vertèbres cervicales,

- Limb body wall complex, séquence cordon court, +/- exencéphalie, fente faciale, ectromélie, imperforation anale, +/- anomalie génitale, +/- myéloméningocèle.

7. Kystes neuroentériques :

Secondaire à une fistule entre l'endoderme et l'ectoderme au cours de l'embryogénèse entraînant un développement anormal du tractus digestif qui reste en connexion avec les structures neurologiques médianes (rachischisis antérieur).

Diagnostic difficile à évoquer devant une malformation kystique intra thoracique pouvant correspondre à une duplication oesophagienne. A noter que l'anomalie vertébrale associée n'est pas obligatoirement en regard de la formation kystique.

8. Méningocèle antérieure :

De localisation préférentiellement sacrée.

Extension anéchogène (contient du LCS) antérieure à travers un défect sacré de la dure mère et de l'arachnoïde dans l'espace sous et/ou rétropéritonéal.

9. Kystes méningés extra ou intraduraux :

Kystes arachnoïdiens soit extraduraux, conservant une communication par un collet étroit avec l'espace sous-arachnoïdien par un défect de la dure-mère, soit sous duraux.

 

7 - Anomalies vertébrales sans dysraphie

Défaut de segmentation et de formation vertébrales (hémivertèbre, vertèbre surnuméraire...) responsable de désaxation du rachis foetal et de défaut d'ossification des points postérieurs ou antérieurs.

Affirmer qu'il n'y a pas de dysraphie associée est difficile.

Evoquer un éventuel syndrome de VACTERL, association malformative hétérogène :

- Anomalie Vertébrale (hémivertèbre, parfois spina),
- Imperforation Anale,
- Cardiopathie,
- Fistule Trachéo - oEsophagienne,
- Anomalies radiales et Rénales,
- Amputation de segments de membres (Limbs).

8 - Tératome sacrococcygien

Le diagnostic est en règle facile mais l'association avec une myéloméningocèle est possible.

Le rachis est suivi et parait normal jusqu'à son extrémité. Le pôle céphalique est normal.

Le tératome est volontiers volumineux d'emblée (aussi gros que la tête foetale à 22 SA), son échostructure est habituellement mixte (association de plages solides, échogènes, et de plages liquidiennes, anéchogènes), ses contours sont irréguliers.

Il existe néanmoins des formes liquidiennes pures, à contours nets et à l'opposé des formes globalement solides.

Le doppler met en évidence une vascularisation importante à partir d'une artère sacrée large (pratiquement aussi large que l'aorte). Lorsque son développement est purement caudal (toute la tumeur extériorisée dans le liquide amniotique), ou pelvien avec extériorisation externe, le diagnostic est simple.

Le diagnostic peut être plus difficile à poser avec une méningocèle antérieure sacrée dans les formes uniquement pelvi-abdominales et liquidienne se moulant sur la concavité sacrée .

 

9 - Kystes dermiques et épidermiques. Sinus dermiques

1. Kystes dermiques et épidermiques :

Ce sont des kystes avec une capsule ayant un épithélium stratifié contenant des amas d'acides gras, de cholestérol, de kératine... Les kystes dermoïdes ajoutent des éléments de tissu ectodermiques différenciés.

2. Sinus dermiques :

Orifice cutané prolongés par un tube de peau et s'étendant plus ou moins profondément dans les tissus sous cutanés. Ces tubes peuvent pénétrer le canal rachidien rester extraduraux ou se prolonger en intra dural.

 

10 - Conclusion

En raison des conséquences graves qui pourraient résulter d'un diagnostic de spina bifida occulta oublié, il importe d'être sûr de l'intégrité du rachis foetal.

A 22 SA, un peu de patience, en raison des mouvements spontanés ou stimulés du foetus, permet très souvent d'étudier correctement le rachis. Les signes intracrâniens sont essentiels.

Un dosage d'alphafoetoproteine élevé (dosé dans le test de trisomie 21) et les patientes à risques (antécédents, épilepsie) nécessitent un contrôle par un échographiste référent.