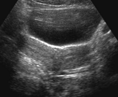
Utérus cloisonné (Cliché : Dr. C. TALMANT)

| Iconographie précédente | Retour cours | Index iconographique | Iconographie suivante |