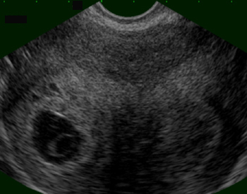
Utérus cloisonné. Grossesse débutante dans l’une des cornes (Cliché : Dr. C. TALMANT)

| Iconographie précédente | Retour cours | Index iconographique | Iconographie suivante |