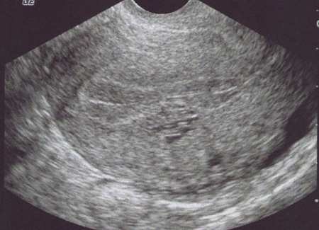
Fistule artério-veineuse au sein de l’endomètre après curetage (Cliché : Dr. C. TALMANT)

| Iconographie précédente | Retour cours | Index iconographique | Iconographie suivante |