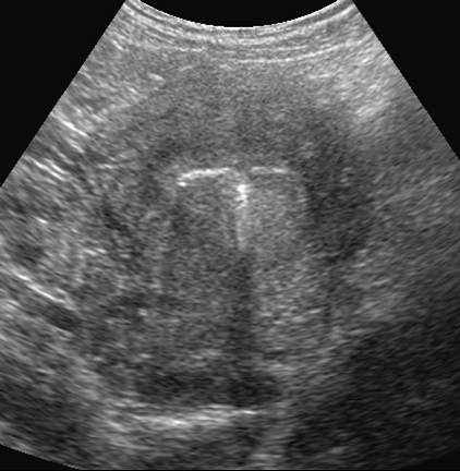
DIU en place, coupe frontale

| Iconographie précédente | Retour cours | Index iconographique | Iconographie suivante |