Iconographies :

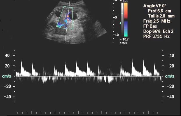
Flux-Tronc
Flux-Segmentaire
Absence de tronc artériel
Thrombose veineuse
Thrombose veineuse
Iconographies Précédentes
Iconographies Suivantes