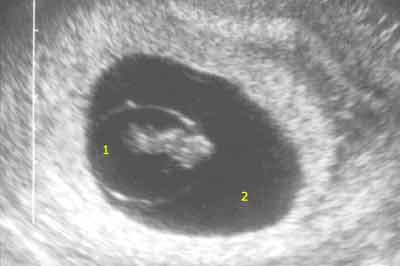
1- Cavité amniotique
2- Coelome extra embryonnaire
|
Iconographie précédente
|
Retour cours
|
Index iconographique
|
Iconographie suivante
|