Sommaire

Introduction

1 - Infection par le toxoplasme
2 - Infection par le virus de la rubéole
3 - Infection à cytomégalovirus
4 - Infection à Parvovirus B19
5 - Infection par le virus de la varicelle

 


 

Introduction

L'échographie permet de rechercher l'expression morphologique et certaines répercussions physiologique d'une infection fœtale.

La recherche de ces signes, combinée avec la biologie maternelle et ovulaire, s'intègre dans le dépistage, le diagnostic positif et l'évaluation du pronostic de l'infection fœtale.

L'échographie intervient essentiellement dans deux contextes différents :

L'infection maternelle aura alors été diagnostiquée soit dans le cadre d'une surveillance sérologique systématique, soit en raison de signes cliniques maternels, soit enfin en raison d'un contexte favorisant la contamination maternelle.
Les agents infectieux pour lesquels le risque d'embryo-foetopathie est le mieux connu sont la toxoplasmose, la rubéole, le cytomégalovirus (CMV), le parvovirus B19 et la varicelle.

Certains signes échographiques sont peu spécifiques mais leur présence doit faire rechercher de façon systématique une possible infection virale fœtale (retard de croissance intra-utérin, anomalies de quantité du liquide amniotique). Cependant, chaque infection peut entraîner des manifestations pathologiques originales pouvant orienter le diagnostic, bien qu'aucun signe échographique ne soit pathognomonique d'un agent infectieux.
Certains signes échographiques sont peu spécifiques mais leur présence doit faire rechercher de façon systématique une possible infection virale fœtale :

1- RCIU
2- Calcifications (intra-craniennes ou intra-abdominales)
3- Hydrocéphalie
4- Anasarque

5- Oligo-hydramnios
6- Placentomégalie

1 - Infection par le toxoplasme

     1. Le contexte

La primo-infection toxoplasmique concerne 4900 femmes par an en France entraînant environ 100 infections congénitales. Le taux de transmission fœtale dépend du terme de la grossesse au moment de la contamination maternelle. Ce taux est < 5% avant 5 SA et > 80% en fin de grossesse (26). Environ 15% des enfants contaminés in utero présenteront une pathologie sévère à la naissance (hydrocéphalie, choriorétinite, calcifications cérébrale). 85% de ces enfants seront asymptomatiques à la naissance mais peuvent développer des séquelles ultérieurement en l'absence de traitement (34,49,97). L'atteinte fœtale est d'autant plus sévère que la contamination maternelle est précoce. Dans l'étude prospective de Desmonts et Couvreur (19), le pourcentage de formes sévères est de 41%, 8% et 0% pour les infections d 1er, 2è et 3è trimestre.
Un traitement antiparasitaire instauré avant la naissance (spiramycine ou pyriméthamine/sulfamides) peut diminuer le risque d'apparition de séquelles ultérieures (27). Il est donc important de pouvoir disposer d'un diagnostic prénatal fiable pour établir le diagnostic d'infection, débuter un traitement adapté et orienter la surveillance et la prise en charge pré et post natale.

     2. Echographie et diagnostic prénatal

a) biologie ovulaire (diagnostic positif de l'infection).

Les méthodes de diagnostic prénatal proposées il y a plus de 10 ans associaient l'étude du liquide amniotique et du sang fœtal (16). Les analyses comportaient :

La sensibilité de ces méthodes était cependant médiocre (16).

L'introduction de la Polymérase Chain Reaction (PCR) pour détecter l'ADN du Toxoplasma gondii dans le liquide amniotique (LA) a permis par la suite un diagnostic plus rapide et plus précis (16, 24, 40). Les indications de la ponction de sang fœtal ont actuellement pratiquement disparu. La plupart des équipes recherchent l'atteinte fœtale par PCR sur LA, l'amniocentèse étant pratiquée habituellement avec un délai d'au moins 4 semaines par rapport à la date de l'infection maternelle.

Foulon et al. (26) rapportent les résultats d'une étude rétrospective réalisée à partir de 122 patientes infectées pendant la grossesse par le toxoplasme et ayant bénéficié d'un diagnostic prénatal. Les données provenaient de 6 pays européens. 31 enfants présentaient une infection. La sensibilité et la spécificité de a PCR sur LA étaient de 81% et de 96%. La sensibilité était de 91% si une inoculation à la souris était associée.

Romand et al. (72) rapportent cette année une étude prospective réalisée sur 3 centres français (Paris, Lyon, Marseille). 272 patientes présentant une séroconversion per-gravidique ont été incluses dans l'étude. Les données avaient été collectées entre 1996 et 1998. Le diagnostic prénatal était réalisé par PCR et inoculation à la souris du LA. L'amniocentèse était pratiquée après 18 SA et 4 semaines au moins après l'infection maternelle. L'infection fœtale était prouvée par persistance des IgG antitoxoplasmiques après un an. 77 (28,3%) enfants étaient infectés et le diagnostic prénatal était positif dans 49 cas. La sensibilité globale était de 63,6, la valeur prédictive négative de 87,8%, la spécificité et la valeur prédictive positive de 100% ; Parmi les cas de toxoplasmose congénitale, la valeur du diagnostic prénatal n'était pas différente en fonction du centre (Paris : 61,9 % ; Lyon 63,9% ; Marseille : 69,2%), de l'intervalle de temps séparant l'infection maternelle et l'amniocentèse et de la durée du traitement par la spiramycine précédent l'amniocentèse. Le sensibilité de la PCR était cependant supérieure lorsqu'il s'agissait d'un infection survenant entre 17 et 21 SA (Tableau 1). Il faut noter également que 3 faux négatifs de la PCR avaient été rattrapés par l'inoculation à la souris.

Tableau 1 : Différences de sensibilité du diagnostic prénatal de la toxoplasmose en fonction de l'age gestationnel au moment de la contamination maternelle (72) :

Age gestationnel (SA)
Sensibilité (IC 95%)
4 à 16 SA
17 à 21 SA
>=22SA
42.9% (17-68.8)
92.9% (67.9-98.8)
61.2% (47.6-74.8)

b) Echographie

La gravité de l'infection fœtale et une éventuelle indication d'interruption médicale de grossesse reposent actuellement sur l'échographie (6) et éventuellement une IRM cérébrale fœtale.

Des échographies détaillées doivent être pratiquées mensuellement pour dépister des signes évocateurs d'atteinte fœtale.

Les lésions observées peuvent être : (18)

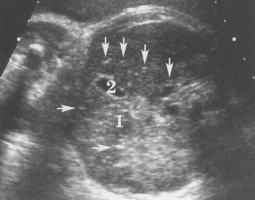
Des calcifications parenchymateuses périventriculaires doivent être recherchées ; celles ci peuvent être isolées. Plus exceptionnellement, une atteinte ischémique peut se traduire par une porencéphalie, une encéphalomalacie multikystique ou une hydranencéphalie.

Une microcéphalie peut être la cause d'une toxoplasmose congénitale,

Un examen échographique normal n'élimine pas ne toxoplasmose congénitale évolutive. Les choriorétinites ne sont pas accessibles au diagnostic échographique.

L'IRM fœtale est un examen très utile, en complément de l'échographie, pour dépister ou préciser des lésions cérébrales. Certaines équipes, dont la notre, ont l'habitude de la proposer quel que soit le terme s'il existe un doute échographique et de façon systématique aux alentours de 32 SA.

 

2 - Infection par le virus de la rubéole

     A) Le contexte

1) Epidémiologie

Le virus de la rubéole est parmi les agents les plus pathogènes pour l'embryon et le fœtus. La première description du syndrome de rubéole congénitale a été réalisée par l'ophtalmologiste Australien Cregg en 1941 (14) qui a rattaché à une épidémie de rubéole un grand nombre de cataractes néonatales. La triade de Cregg comporte cataracte, cardiopathie et surdité, provoquée par l'atteinte fœtale in utero du virus de la rubéole.

Malgré la stratégie vaccinale introduite en France depuis 1983 et le fait que moins de 10% des femmes en âge de procréer soient réceptives, l'infection rubéoleuse pendant la grossesse n'a pas disparu. La couverture vaccinale en France n'est pas satisfaisante et le problème de la rubéole chez la femme enceinte se pose épisodiquement. En 1992, l'incidence des infections rubéoleuses en cours de grossesse était de 3.9 pour 100 000 naissances et celui des rubéoles congénitales malformatives de 0.26 pour 100 000 naissances (53).

La rubéole congénitale survient essentiellement lors d'une primo-infection maternelle, où le passage du virus dans la circulation peut infecter l'embryon ou le fœtus par voie hématogène placentaire. Une réinfection maternelle peut survenir dans un faible pourcentage de cas après une primo-infection par le virus sauvage ; elle peut survenir également dans un pourcentage plus élevé de cas après vaccination. Dans ces cas, l'immunité acquise protège probablement en grande partie contre la transmission fœtale du virus. Jusque dans les années 1980, la réinfection rubéoleuse était considérée comme non tératogène. Depuis, plusieurs cas de malformations congénitales ont été rapportés dans la littérature (53).

2) Risques pour le fœtus

Les lésions les plus fréquentes liées au syndrome de rubéole congénitale sont résumées dans le tableau 2 (d'après 29).
Le risque de contamination fœtale par le virus varie en fonction de l'âge de la grossesse (tableau 3).
La sévérité de l'infection fœtale dépend également de l'âge de la grossesse au moment de la contamination (tableau 4) : Le risque malformatif est majeur avant 12 SA. Entre 13 et 18 SA persiste essentiellement un risque de surdité. Après 18 SA, on ne retrouve plus d'atteinte sévère et les enfants font seulement une forme infraclinique de rubéole congénitale (32).

Tableau 2 : Anomalies retrouvées dans le syndrome de rubéole congénitale et leur fréquence (29) :

Anomalie
Fréquente
Rare
Générale RCIU Prématurité, avortement, mort néonatale
Cardio-vasculaire Persistance du canal artérielSténose AP Coarctation de l'aorte
Myocardite
CIA, CIV
Oculaire Cataracte
Rétinopathie
Microphtalmie (si cataracte unilatérale)
Opacité cornéenne
Glaucome
Néovascularisation rétinienne
Auditive Surdité d'origine centrale +++  
Système nerveux central Méningoencéphalite
Anomalies EEG
Retard mental
Troubles du comportement
hypotonie
Microcéphalie
Calcifications intracrâniennes

Autisme
Panencéphalite chronique progressive
Troubles du langage (en dehors de la surdité)
Cutanés Anomalies des dermatoglyphes Eruption rubéoliforme chronique
Pulmonaires   Pneumonie interstitielle
Hépatiques Hépatomégalie Ictère
Hépatite
Sang Purpura thrombocytopénique Anémie
Système immunitaire   Hypogammaglobulinémie
Adénopathies
Hypoplasie thymique
Os Malformation des métaphyses des os longs (bandes claires) Fontanelle antérieure large
Micrognatie
Système endocrinien diabète Pathologie thyroidienne
Anomalie de l'hormone de croissance
Système génito-urinaire   Cryptorchidie
Rein polykystique

Sont notés en gras et en italique les signes théoriquement accessibles à l'échographie.

Tableau 3 : Pourcentage de fœtus infectés en fonction de la date de séroconversion maternelle d'après Daffos et Forestier (15) :

Date de séroconversion
Nb total de fœtus
Nb de fœtus infectés
%
0-2 SA
11
3
35
4-6 SA
7
4
57
7-12 SA
36
24
66
13-18 SA
65
29
45

Tableau 4 : sévérité de l'atteinte fœtale en fonction du moment de la séroconversion maternelle, d'après Munro et coll. (59) à partir de 106 cas prouvés de rubéole pergravidique :

 
Moment de la rubéole maternelle (SA)
 
 
3-12 SA
13-18 SA
> 18 SA
Malfos multiples (Cœur, SNC, yeux, ouïe)
22 (42.3%)
1 (2.6%)
0
Surdité seule
22 (42,3%)
21 (53.8%)
0
Absence de malformation
8 (15.4%)
17 (43.6%)
15
Total
52
39
15

     B) Echographie et diagnostic anténatal.

Le diagnostic prénatal de contamination fœtale fait actuellement appel principalement à la biologie materno-foetale et plus accessoirement à l'échographie.
L'infection fœtale peut être montrée par :

En cas d'infection fœtale et si la grossesse est poursuivie, l'échographie devient alors primordiale dans la recherche de malformations liées à l'infection rubéoleuse. La littérature est pauvre en descriptions échographiques d'anomalies.

L'étude échographique devra s'attacher à la recherche d'un infléchissement de la croissance, de malformations cérébrales et cardiaques décrites précédemment ainsi qu'aux signes d'infection non spécifiques : hépatosplénomégalie, augmentation de l'épaisseur du placenta, anomalie de la quantité de liquide amniotique, cataracte.

Radner et al. (69) ont rapporté également un cas de péritonite méconiale liée à une infection rubéoleuse fœtale.

 

3 - Infection à cytomégalovirus

     A) Le contexte

1) Epidémiologie (88,92)

Le CMV est responsable de la plus fréquente des infections virales congénitales puisque cette infection concerne 0.5 à 2% des nouveaux nés. Elle constitue la cause principale des handicaps neuro-sensoriels acquis pendant la vie intra-utérine.

La contamination maternelle se fait par contact avec des sécrétions infectées (salive, urine, sécrétions génitales et nasales, sang). La durée d'incubation est de 2 à 4 semaines. La primo-infection est asymptomatique dans 90% des cas ; elle peut entraîner un syndrome pseudo-grippal. Après primo-infection le CMV persiste à l'état quiescent et peut être responsable d'infections secondaires par réactivation du génome endogène. Même en cas d'immunité normale, des réinfections par une nouvelle souche sont possibles mais rares car les anticorps n'assurent pas une protection absolue. À l'occasion de ces récurrences, une virémie secondaire peut survenir.

La séroprévalence maternelle globale est de 50% en France. Elle augmente significativement avec l'âge, le nombre d'enfants et la précarité du niveau socio-économique. Elle est plus élevée dans le Sud que dans le Nord. Les femmes enceintes s'infectent essentiellement à l'occasion des relations sexuelles et par contact avec de jeunes enfants ou des patients immunodéprimés. Une primo-infection est susceptible de survenir chez 0,5 à 2 % des femmes enceintes séronégatives. Chez les femmes immunisées, une récurrence peut survenir dans environ 1 à 2 % des cas.

La transmission au fœtus ne dépend pas de l'âge gestationnel. La contamination se fait, probablement, surtout par voie hématogène transplacentaire, à l'occasion de la virémie, par passage des leucocytes infectés. Elle peut aussi se faire à partir de foyers de placentite, par l'intermédiaire d'une infection du liquide amniotique. Une infection ascendante à partir des sécrétions cervicales, avec déglutition et/ou inhalation du liquide amniotique par le fœtus, est aussi possible.

Le taux de transmission, constant tout au long de la grossesse, est de l'ordre de 30 à 40 % en cas de primo-infection maternelle et de 2 à 3 % en cas de récurrence. La présence d'anticorps chez la mère ne protège que partiellement le fœtus qui souffre cependant, dans ce cas, d'une forme moins sévère d'infection responsable seulement de séquelles sensorielles rares et mineures (41,51).

2) Risques pour le fœtus (41,51,91)

En cas d'infection fœtale in utero, les conséquences sont variables : à la naissance, environ 85 à 90 % des enfants sont asymptomatiques et 10 à 15 % présentent des symptômes divers.

Ces statistiques correspondent à l'ensemble de la littérature qui établit entre 10 et 20% selon les séries le nombre d'enfants atteints qui garderont des séquelles neuro-sensorielles. (91). D'après Vial et coll. (92), en se basant sur un modèle de 770 000 naissances par an, on peut estimer que 2289 fœtus seront contaminés in utero et que 432 d 'entre eux garderont des séquelles neuro-sensorielles (figure 1).

Figure 1 : Évaluation approximative du nombre annuel d'infections materno-fœtales à cytomégalovirus en France, d'après Vial et coll. (92) :

Pathogénie des lésions fœtales (91,92) :

Selon la date de contamination, les lésions sont dues soit à une interférence dans l'organogenèse en cas d'infection précoce, soit à l'infection d'organes déjà formés. Les lésions cérébrales dépendent de la date de contamination du fœtus et, éventuellement, des réactivations successives. Le virus peut provoquer d'une part des lésions de nécrose focale par destruction cellulaire, suivie de lésions inflammatoires secondaires sous forme de granulomes à CMV, puis de sclérose. Pendant les quatre premières semaines surviennent des lésions de cytolyse, de vascularite et de ventriculite. Elles sont responsables de la constitution, au cours des semaines suivantes, de zones de nécrose et de sclérose, de thromboses et de nodules microgliaux. Il en résulte une destruction plus ou moins étendue du tissu cérébral avec atrophie, porencéphalie, gliose, calcifications parenchymateuses et, éventuellement, dilatation ventriculaire ou anomalies de migration et de gyration. La coexistence fréquente de lésions d'âge différent est un argument en faveur de réinfections successives (92).

      B) Diagnostic prénatal et place de l'échographie

Les circonstances de diagnostic d'infection fœtale à CMV sont triples :

Le diagnostic positif d'infection fœtale se fait au mieux par prélèvement de liquide amniotique pour recherche du virus par culture ou PCR, après vérification de la négativité de la virémie maternelle et au moins 4 à 6 semaines après l'infection (séroconversion ou signes cliniques) maternels (43,93). La ponction de sang fœtal a peu d'intérêt diagnostique. Elle pourrait peut être apporter des arguments d'ordre pronostique en recherchant les anomalies hématologiques et hépatiques de l'infection. Ces anomalies sont le témoin d'une atteinte disséminée mais leur signification pronostique en anténatal n'est pas établie même s'il semble exister une corrélation entre les anomalies biologiques et la fréquence des séquelles (51,95).

L'échographie sera donc essentielle à double titre :

Séméiologie échographique :

Les données post natales montrent que seulement 10 à 20 % des enfants sont symptomatiques et sont donc susceptibles de développer des anomalies décelables in utero. Il est cependant probable que seuls les fœtus présentant les atteintes les plus sévères présenteront des signes échographiques. L'échographie ne montrerait en pratique des signes d'infection que chez 5% des enfants atteints (93).

La séméiologie échographique décrite par les différents auteurs comporte les signes suivants :

 

4 - Infection à Parvovirus B19

     A) Le contexte

1) Epidémiologie

Le parvovirus B19 a été mis en évidence en 1975 par Cossart et al. (12). Ce virus est l'agent responsable du mégalérythème épidémique (ou 5ème maladie chez l'enfant). Sa responsabilité dans l'anasarque non immunologique a été mise en évidence en 1984 (9,48). Sa transmission s'effectue par l'intermédiaire des sécrétions respiratoires. Les manifestations cliniques sont à type de rash maculo-papuleux débutant au niveau du visage et des joues avant de s'étendre sur les membres et le tronc, d'arthralgies aiguës et plus rarement de crises d' érythroblastopénie aiguë par action directe lytique du virus sur les éléments précurseurs de la lignée érythroïde. Le tableau peut cependant être fruste ou incomplet.
Il n'est pas rare que les infections soient asymptomatiques chez l'adulte (36% pour Schwartz (81)). Le diagnostic biologique est avant tout sérologique : les IgM apparaissent 3 à 4 jours après le début de la maladie et persistent environ 3 mois ; les IgG apparaissent au 7è jour et persistent des années (77). Le diagnostic direct est également possible par mise en évidence de l'ADN viral par hybridation moléculaire ou PCR. Cette infection est bénigne, excepté sur certains terrains : les immunodéprimés, les porteurs d'anémies hémolytiques constitutionnelles et pendant la grossesse.
Environ 50% des femmes enceintes sont immunisées (52). Les patientes à risque sont les femmes en contact avec de jeunes enfants (mères de famille, personnel soignant, institutrices). Le risque pour une femme enceinte de contracter une infection à Parvovirus B19 au cours de la grossesse serait de 1 sur 400 environ (31).

2) Risques pour le fœtus

Après primo-infection maternelle, la contamination fœtale survient dans 1/3 des cas environ (35). Au cours de la grossesse, le virus peut provoquer des avortements spontanés, des morts fœtales in utero et des anasarques fœto-placentaires. La mort fœtale surviendrait dans environ 10% des grossesses infectées (55,69). L'infection par Parvovirus B19 serait responsable de 7% (67) à 18% (45) des anasarques non immuns.
L'anasarque et l'insuffisance cardiaque seraient essentiellement dus à l'anémie (63). En effet, le fœtus est particulièrement vulnérable au virus car il possède un pool de globules rouges qui s' expand rapidement et la durée de vie de ces hématies est à peu près la moitié de celle de l'adulte (90). Le deuxième trimestre de la grossesse serait particulièrement vulnérable étant donné que la durée de vie des hématies est de 45 à 70 jours à cette période et que la masse globulaire est multipliée par 3 à 4 entre 3 et 6 mois (78). Plusieurs auteurs pensent cependant que la toxicité directe du virus vis à vis des cellules myocardiques joue un rôle important (58,83).
Bien que rares, plusieurs cas d'autres anomalies fœtales liées au Parvovirus B19 ont été rapportées. Le virus, en plus de sa forte prédilection pour les érythroblastes, est probablement capable d'infecter les tissus embryonnaires immatures (37). Le virus peut également être responsable de vascularite avec atteinte de plusieurs organes par ce biais.
En dehors de l'anasarque, manifestation la plus fréquente de l'infection à parvovirus B19, les anomalies suivantes ont été rapportées dans la littérature : plusieurs cas de péritonite méconiale (79,80,99), épanchements isolés pleural et péricardique (respectivement 3 et 2 cas dans la série de Parilla 60)), anomalies oculaires (37,95), lésions de myocardite (76,83), infarctus du myocarde (47), calcifications spléniques, hydrocéphalie (47), accident vasculaire cérébral anténatal (13), micrognatie et fente palatine (89).
En dehors des cas de péritonite méconiale, aucune de ces anomalies n'a été rapportée chez des enfants vivants (78). A propos d'une étude concernant 427 femmes contaminées par le parvovirus B19 pendant la grossesse, Miller et coll. (55) ne relèvent aucune anomalie congénitale chez les enfants vivants et estiment que le risque malformatif lié au parvovirus B19 est < 1%.

     B) Echographie et diagnostic prénatal

L'échographie pourra être réalisée dans deux contextes :

 

5 - Infection par le virus de la varicelle

     A) Le contexte

1) Epidémiologie

Le virus de la varicelle et du zona (VZV) est responsable de l'infection varicelleuse et des infections récurrentes du zona. Ce virus, de la famille des herpès virus, présente un tropisme cutané et nerveux. La varicelle est rarement une maladie d'adulte. 90 à 95 % des femmes en âge de procréer sont immunisées. Le risque de survenue d'une varicelle en cours de grossesse est de 1 à 7 pour 10 000 (3,5,33). La transmission se fait par l'intermédiaire d'un contact direct entre individus par le biais des aérosols issus des lésions cutanées vésiculaires ou des sécrétions respiratoires. La période d'incubation moyenne est de 15 jours (extrêmes 10-21 jours). Une exposition de type familial entraîne une contamination dans 88 à 96 % des cas (56). Le sujet infecté est contaminant 2 jours avant l'éruption, et jusqu'à cicatrisation des lésons cutanées.
La survenue d'un zona en cours de grossesse est estimée à 1,5/10 000 (8). La survenue d'un zona en cours de grossesse ne comporterait pratiquement aucun risque d'embryofoetopathie (21).
La survenue d'une varicelle clinique entraîne une virémie peu après la première contamination, le virus poursuit ensuite sa réplication dans les tissus avant une seconde virémie qui semble être brève. L'infection fœtale peut résulter de la première ou la seconde virémie (56).

2) Conséquences pour le fœtus

VZV peut être responsable de perte fœtale ou d'une embryofoetopathie appelée syndrome de varicelle fœtale. La fréquence des avortements et des morts in utero est de 3 à 6% (21,44) mais les cas réellement documentés de morts fœtales liés à la varicelle sont rares (11).

Le syndrome de varicelle congénitale (VC) :
Les malformations fœtales dues à une infection varicelleuse avant 20 SA sont rares. Cependant, plus de 70 cas mondiaux ont été décrits dans la littérature (7). Ces anomalies ont été décrites pour la première fois en 1947 par Laforêt et Lynch (50), et la notion de syndrome de varicelle congénitale a été proposée en 1964 par Strabstein et al (85).
Alkalay et al (2) publient en 1987 après analyse de la littérature la description de 22 cas de syndrome de varicelle congénitale. La description porte sur des enfants agés de 1 jour à 15 ans ; l'infection fœtale étant documentée par la notion d'une infection varicelleuse en cours de grossesse, de lésions cutanées et de la preuve immunologique postnatale pour 13 enfants. Une revue récente de la littérature décrit de façon exhaustive les anomalies rencontrées dans ce syndrome (7).
Les principales atteintes décrites du syndrome de VC sont les suivantes :

Le syndrome de varicelle fœtale peut être la conséquence soit d'une atteinte directe de la cellule nerveuse expliquant le caractère souvent multiple des lésions nerveuses, soit du développement d'un zona in utero. Après l'infection primaire, il existe une réactivation au niveau des ganglions des racines postérieures de la moelle, entraînant une destruction nerveuse. Ce dernier mécanisme permet d'expliquer le caractère segmentaire et parfois isolé des lésions cutanées ainsi que des lésions oculaires tardives.

Tableau 5 : Principales manifestations du syndrome de varicelle congénitale (d'après Mirlesse (56)) :

Neurologiques
Squelette
Oculaire
Cutanée
Divers
Microcéphalie
Hydrocéphalie
Atrophie corticale
Sd Horner
Paralysie bulbaire
Hypoplasie d'un membre
Contracture des articulations
Choriorétinite
Cataracte congénitale
Atrophie du nerf optique
Opacité cornéenne
Microphtalmie
Cicatrices cutanées extensives
Hypopigmentation
Lésions vésiculaires
RCIU
Fibrose intestinale
Vessie neurologique
Paralysie phrénique
Hydronéphrose

Tableau 6 : Fréquence des manifestations du syndrome de varicelle congénitale (d'après Alkalay (2)) :

Type de manifestation
% enfants atteints
Retard de croissance
Lésions cutanées
Anomalies oculaires
Anomalies neurologiques
Atteinte squelettique
29 %
100 %
68 %
77 %
68 %

Tableau 7 : Fréquence des atteintes congénitales dues au virus de la varicelle et du zona :

Auteur
% de VC en cas de vatricelle maternelle au cours du 1er trimestre
% de VC en cas de vatricelle maternelle au cours du 2è trimestre
(< 20 SA)
Siegel et al (1973)
Paryani (1986)
Balducci (1992)
Pastuszak (1994)
Enders et al (1994)
Mouly et al (1997)
2/27 (7.4%)
1/11 (9.1%)
0/35
1/49 (2%)
2/472 (0,4%)
2/75 (2,6%)
0/32
0/27

0/37
7/351 (2%)
1/19 (5.3%)
Total
8 /669 (1,2%)
8/466 (1.7%)

L'étude la plus importante portant sur le risque d'anomalie congénitale liée à la varicelle a été rapportée par Enders et al. (21) en 1994. Il s'agit d'une étude prospective réalisée en Allemagne et au Royaume Uni entre 1980 et 1993, portant sur 1373 femmes qui avaient une varicelle et 366 un zona avant 36 SA. Avaient été identifiés 9 cas de varicelle congénitale, survenant chaque fois après varicelle maternelle contractée lors des 20 premières semaines de grossesse.

Les risques en fonction de l'âge d'atteinte étaient :

Parmi les 366 femmes atteintes de zona, aucun enfant à la naissance ne présentait de signe clinique d'infection in utero.
Les IgM ont été retrouvés à la naissance chez 25% des enfants présentant une infection clinique. 12 % des enfants asymptomatiques nés de mères ayant contracté une varicelle avaient des IgM à la naissance. Les sérologies étaient négatives en cas de zona maternel.

L'étude de Mouly et al. (57), représente la première série de diagnostic prénatal par PCR sur liquide amniotique, dans les varicelles entre 0 et 24 SA (107 patientes). Elle évalue à 8,4% la contamination fœtale in utero ; à 2,8% le risque de VC et à 3,8% le risque de zona au cours de la première année de vie. En cas de PCR négative tous les enfants avaient un devenir normal. Au cours d'une communication personnelle, V. Mirlesse (Club de médecine fœtale, 1999) rapporte les résultats de 307 cas d'infection dont 200 prospectives analysées par la même équipe. L'infection maternelle se situait entre 8 et 26 SA. La PCR était postive dans 20 cas (6,5%) :

Cinq enfants présentaient donc un syndrome de varicelle congénitale (1,6%). Quatre avaient montré des signes échographiques in utero.

     B) Echographie et diagnostic prénatal.

Ont été rapportés dans la littérature les signes échographiques suivants au cours de VC: (39,56,57,67) :

Sont théoriquement accessibles à l'échographie les microphtalmies. Par contre, les autres lésions ohptalmologiques, neurologiques périphériques ou cutanées isolées passent inaperçues.

Au vu des résultats précédents, on peut estimer que le taux de contamination fœtale lors d'une contamination maternelle avant 24 SA est de l'ordre de 6 à 8% alors que le risque de varicelle congénitale est de 1 à 2%. La méthode la plus sensible de diagnostic de contamination foeto-maternelle est la PCR (réalisée au moins un mois après la contamination maternelle après avoir vérifié que la PCR sur sang maternel est négative). La valeur prédictive négative de la PCR vis à vis de l'absence de VC paraît excellente dans la série de Mouly (57) où tous les enfants pour lequel le diagnostic prénatal était négatif étaient normaux (suivi moyen 26 mois). Cependant, la présence du génome viral n'est pas suffisant pour conclure à une VC, étant donné que ¾ des enfants pour lequel le diagnostic prénatal était positif ne présentaient pas de VC.

D'autres outils sont donc nécessaires pour fixer le prosostic fœtal :

En cas de notion de varicelle maternelle pergravidique, il faudra donc envisager une surveillance échographique mensuelle avec une attention particulière pour le cerveau, les membres et l'œil. Une IRM cérébrale fœtale pourra également être proposée aux alentours de 32 SA en recherchant en particulier des anomalies de la gyration , de la migration neuronale et des signes pouvant faire évoquer une atrophie cérébrale débutante.