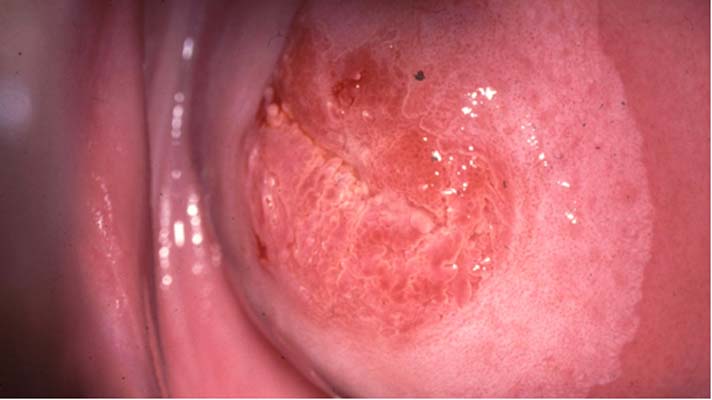
Progression centripète de la TAGI
|
Iconographie précédente
|
Retour cours
|
Iconographie suivante
|