

Monsieur A., vingt-cinq ans, étudiant vétérinaire, vient consulter pour lombalgies. La symptomatologie évolue depuis trois ans. Le patient n’avait jamais consulté car les douleurs étaient auparavant intermittentes, de faible intensité, et étaient soulagées par du paracétamol acheté en vente libre en pharmacie. Depuis quatre mois, la symptomatologie s’est modifiée. Les douleurs sont plus intenses et plus invalidantes. Elles siègent au rachis lombaire et dans les fesses. Elles réveillent le patient vers 3 h du matin. Elles sont maximales en début de journée et entraînent un dérouillage matinal que le patient évalue à environ une heure. Le traitement par paracétamol s’est avéré inefficace.
L’examen clinique trouve un sujet d’état général conservé. Il n’y a pas de fièvre.
Le rachis lombaire est raide et douloureux à la palpation. Les manoeuvres sacroiliaques sont douloureuses, en particulier à gauche. Il n’y a pas de signe de Lasègue.
L’examen neurologique est sans particularité. L’examen général est normal.
Parmi les antécédents, on retient un tabagisme à cinq paquets-années et quelques lésions traumatiques : deux entorses de la cheville droite il y a cinq et deux ans, une entorse du genou gauche avec lésion du ménisque interne ayant nécessité une suture sous arthroscopie il y a trois ans, un accident de la voie publique il y a cinq mois, s’étant soldé par des plaies cutanées.
Vous évoquez le diagnostic de spondylarthropathie. Quels éléments complémentaires importants en faveur de ce diagnostic recherchez-vous à l’interrogatoire et à l’examen clinique ?
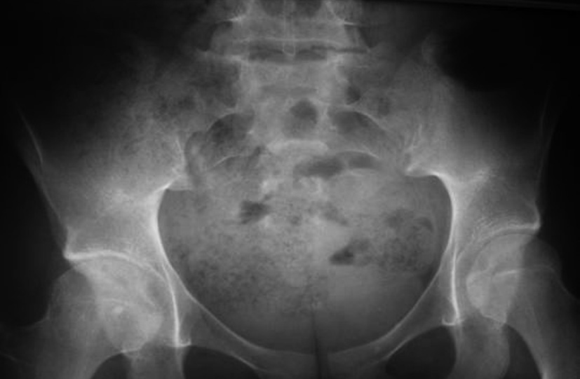
Ces recherches sont négatives. Vous revoyez le patient avec les résultats de clichés radiographiques (rachis thoracique et lombaire face et profil, bassin de face — ce dernier étant sur le cliché joint). Les résultats des examens de laboratoire sont les suivants :
– hémoglobinémie : 13 g/100 ml ; leucocytes : 5 300/mm3 (65 % de polynucléaires
neutrophiles, 25 % de lymphocytes) ; plaquettes : 188 000/mm3 ;
– vitesse de sédimentation : 8 mm ; protéine C réactive : 4 mg/l (N < 5) ;
– natrémie : 142 mEq/l ; kaliémie : 4,1 mEq/l ; albuminémie : 39 g/l ; créatininémie : 85 μmol/l ;
– calcémie = 2,35 mmol/l.
Outre une spondylarthropathie :
1. Quelles sont les principales autres hypothèses diagnostiques ? Discutez-les.
2. Quel examen d’imagerie doit être privilégié dans le cadre du diagnostic ?
Le diagnostic de spondylarthrite ankylosante est retenu. Quelle est votre attitude thérapeutique ? Quel suivi planifiez-vous ?
Après quelques semaines, le patient se plaint de gastralgies. La fibroscopie oesogastroduodénale objective un ulcère gastrique prépylorique de 0,5 cm de diamètre, macroscopiquement bénin (les biopsies réalisées n’objectivent que des remaniements inflammatoires banals).
Quelle doit être la conduite à tenir ?
Le problème digestif est réglé. L’évolution ultérieure de la spondylarthrite ankylosante se fait vers une aggravation des symptômes. Le patient est très invalidé. Il existe une résistance ou une contre-indication à tous les traitements « classiques » locaux ou généraux.
1. Quelle classe thérapeutique peut être envisagée ?
2. Quelles sont ses principales contre-indications ?
La thérapeutique envisagée est efficace, mais le patient garde quelques douleurs persistantes. Il a entendu parler des cures thermales et vous demande quelles en sont les modalités et si elles pourraient lui être bénéfiques. Que lui répondez-vous ?
La maladie est peu active pendant plusieurs mois. Malheureusement, l’évolution se fait vers un échappement thérapeutique. Le patient vient vous demander conseil. Il lui a été proposé d’être inclus dans une étude testant l’efficacité d’un nouveau traitement, en comparaison avec un placebo.
Il vous demande ce qu’est :
1. un placebo ;
2. l’effet placebo ;
3. l’effet thérapeutique ;
4. et pourquoi l’étude comporte un groupe « placebo ».