

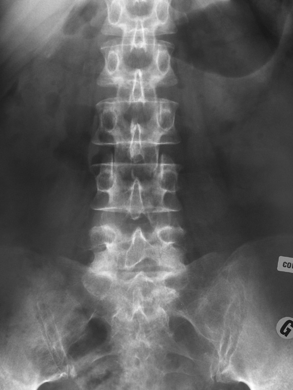
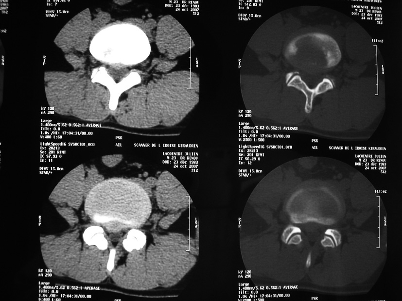
Monsieur B., quarante-quatre ans, professeur de mathématiques, sans antécédents, vient vous consulter pour une lombalgie irradiant dans le membre inférieur gauche. La douleur lombaire est apparue il y a quinze jours après un effort de soulèvement. Il s’agit d’une douleur lombaire basse, relativement supportable, irradiant à la face postéro-externe de la cuisse, à la face externe de la jambe et au dos du pied. La douleur est aggravée par les efforts, soulagée par le repos, impulsive à la toux.Son seul antécédent est une malposition urétérale opérée dans l’enfance. L’examen clinique montre un signe de Lasègue à gauche à 55°, une colonne lombaire enraidie et douloureuse à la palpation. Il n’y a pas d’anomalie à l’examen neurologique, pas de fièvre, pas d’altération de l’état général. Il vous apporte ses radiographies et son scanner qui explore L5S1 et L4L5 (clichés ci-dessous).
Quelques jours plus tard, malgré un traitement médical bien conduit, le patient bénéficie finalement d’une discectomie L4-L5 chirurgicale en urgence du fait d’un déficit avec un syndrome de la queue de cheval. Il est dans un premier temps amélioré, avec notamment régression de la radiculalgie. Cependant, deux semaines après la chirurgie, il présente une réaggravation de ses lombalgies. Ces dernières sont permanentes, insomniantes, non irradiées. Il existe une fièvre à 38-38,5 °C. La vitesse de sédimentation est de 45 mm à la première heure et la protéine C réactive à 120 mg/l. Une IRM est réalisée (T1 + gadolinium) (cliché ci-dessous).
Quel diagnostic proposez-vous ? Certains examens complémentaires sont-ils indispensables ? Si oui, lequel (justifiez) ? Le scanner lombaire était-il justifié ?
Décrivez l’image scanographique. Est-elle compatible avec le tableau clinique ?
Quel traitement proposez-vous ? L’hospitalisez-vous ?
Quelques jours plus tard, le patient revient consulter. Les douleurs vont un peu mieux, sans plus. Par ailleurs, sont apparues des épigastralgies, et il a noté depuis 48 heures des selles noires. Que suspectez-vous et que faites-vous ?
Le problème digestif finit par se résoudre. En revanche, la douleur lombaire et du membre inférieur gauche persiste. Le patient est revu deux semaines après la première consultation. Il est toujours gêné. La douleur ne s’est pas modifiée. Une indication chirurgicale est-elle envisageable ?
Que concluez-vous ?
Quelle est votre conduite à tenir paraclinique et thérapeutique ?