Campus Cardiologie et maladies vasculaires
Item 224 : Thrombose veineuse profonde et embolie pulmonaire
Collège des Enseignants de Cardiologie et Maladies Vasculaires
Pré-requis et Objectifs
Cours
Evaluations
Annexes
Iconographie
En Savoir Plus
En Savoir Plus
Votre Avis
Ressources Enseignants
Aide
Auteurs
Contacts
Retour au cours
Figure 2 : Algorithme de prise en charge d’une EP avec choc ou hypotension.
Retour au cours
Figure 3 : Algorithme de prise en charge d’une EP sans choc ni hypotension.
Retour au cours
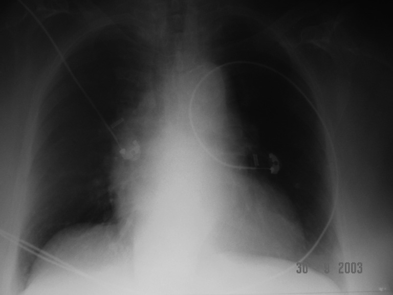
Cas clinique : Figure 1
Retour au cours
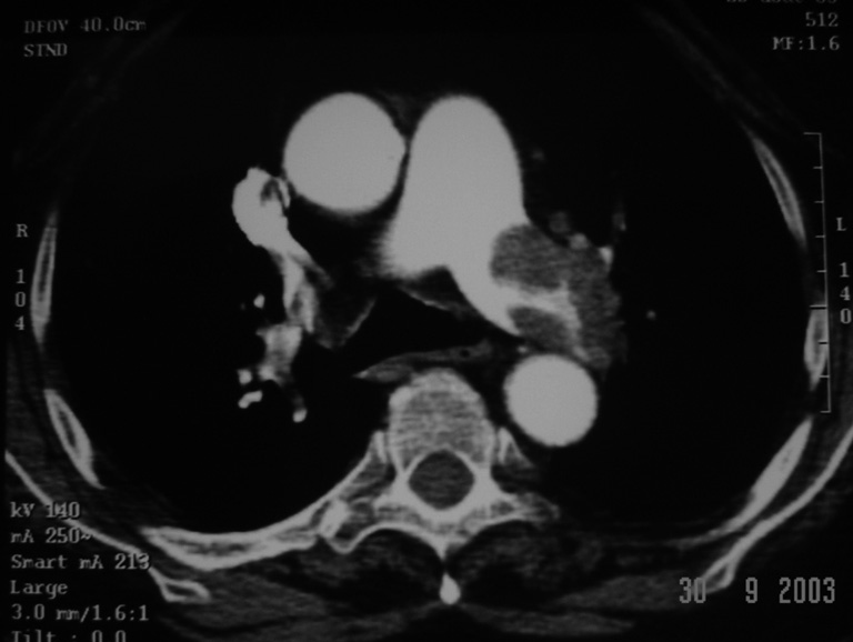
Cas clinique : Figure 2